Definicja choroby. Przyczyny choroby
Szkliwiak (ameloblastoma) to łagodny nowotwór rozwijający się z tkanek odpowiedzialnych za tworzenie zębów. Charakteryzuje się powolnym, bezbolesnym wzrostem, dlatego przez długi czas może nie dawać żadnych objawów i pozostawać niezauważony. Najczęściej lokalizuje się w okolicy kąta oraz gałęzi żuchwy.
W miarę powiększania się guza może dojść do deformacji rysów twarzy, przemieszczenia zębów i ich rozchwiania. Mimo znacznych zmian w strukturze kości szkliwiak prawie nigdy nie wywołuje stanów zapalnych, co często utrudnia jego wczesne rozpoznanie.

Istnieje rzadka odmiana tego nowotworu — złośliwy szkliwiak, zaliczany do grupy raków odontogennych, czyli nowotworów wywodzących się z tkanek uczestniczących w tworzeniu zębów. W przeciwieństwie do postaci łagodnej może dawać przerzuty do innych narządów, takich jak kości, śledziona, wątroba czy płuca.
Częstość występowania
Szkliwiak stanowi około 1% wszystkich guzów twarzy. Najczęściej rozpoznaje się go u osób w wieku 30–40 lat, przy czym częstość zachorowań u kobiet i mężczyzn jest zbliżona.
Przyczyny
Dokładne przyczyny rozwoju szkliwiaka nie zostały jednoznacznie ustalone. Według jednej z hipotez guz powstaje w wyniku nieprawidłowego rozwoju zawiązka zęba. Inna teoria wskazuje, że rozwija się z pozostałości nabłonka odontogennego, znanych jako wysepki Malasse’a — fragmentów tkanki pozostających po procesie formowania zębów.
W przypadku wystąpienia podobnych objawów skonsultuj się z lekarzem. Nie stosuj samoleczenia – to niebezpieczne dla Twojego zdrowia!
Objawy szkliwiaka
Szkliwiak najczęściej lokalizuje się w okolicy kąta i gałęzi żuchwy, zwłaszcza w rejonie zębów mądrości. We wczesnym stadium choroba przebiega bezobjawowo, dlatego pacjent przez długi czas może nie zdawać sobie sprawy z obecności guza.
Jest to łagodny nowotwór rozwijający się wewnątrz kości żuchwy. Zazwyczaj rośnie powoli, ale w miarę postępu choroby może prowadzić do rozchwiania i przemieszczenia zębów, zaburzeń zgryzu oraz deformacji twarzy. W bardziej zaawansowanych przypadkach, gdy guz osiąga znaczne rozmiary, dochodzi do widocznego zaburzenia symetrii twarzy, co często wymaga rozległego zabiegu chirurgicznego i długotrwałej rehabilitacji.
Czasami szkliwiak rozwija się równocześnie z torbielami zębowymi lub zębami zatrzymanymi, choć procesy te mogą również występować niezależnie od siebie.
Patogeneza szkliwiaka
Szkliwiak rozwija się w wyniku niekontrolowanego podziału komórek tworzących tkanki zęba, czyli tzw. narządu szkliwnego, które pozostają w żuchwie po zakończeniu formowania zęba. W normalnych warunkach komórki te są nieaktywne, jednak czasami zaczynają intensywnie się dzielić, co prowadzi do powstania guza.
Same komórki nie wykazują cech złośliwej transformacji — różnią się jedynie układem i tempem wzrostu. W rezultacie tworzy się łagodny guz, który powiększa się stopniowo, zwykle bez bólu i innych objawów, dopóki nie osiągnie znacznych rozmiarów.
Dokładny mechanizm, który uruchamia rozwój szkliwiaka, nie jest znany.
Klasyfikacja i etapy rozwoju szkliwiaka
Zgodnie z Międzynarodową Klasyfikacją Chorób (ICD-10) szkliwiak oznaczony jest kodami D16.4 i D16.5, co odpowiada łagodnemu nowotworowi kości czaszki, twarzy oraz żuchwy.
Wyróżnia się dwa główne typy szkliwiaka — łagodne i złośliwe.
Postacie łagodne:
- lita (lub wielotorbielowata) – najczęściej spotykana forma;
- jednostorbielowata – tworzy pojedynczą, dużą torbiel;
- zewnątrzkostna (obwodowa) – rozwija się na powierzchni kości, a nie wewnątrz niej;
- desmoplastyczna – ma gęstą, włóknistą strukturę.
Postacie złośliwe:
- szkliwiak przerzutujący – może dawać przerzuty do innych narządów;
- rak ameloblastyczny – nowotwór złośliwy wywodzący się z komórek szkliwiaka.
Wszystkie typy rosną powoli, ale w przypadku braku leczenia mogą powodować deformację twarzy. Różnią się budową histologiczną, co ma kluczowe znaczenie dla wyboru odpowiedniej metody terapii.
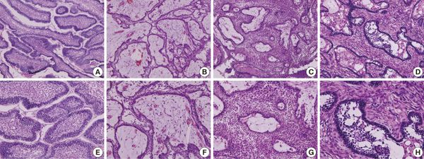
Najczęstszą odmianą jest szkliwiak wielotorbielowaty, który zwykle lokalizuje się w żuchwie. Powstaje on z pozostałości nabłonka związanego z rozwojem zębów, a pod mikroskopem przypomina strukturę plastra miodu lub baniek mydlanych. Guz zbudowany jest z komórek nabłonkowych i włókien kolagenowych, a jego budowa obejmuje:
- warstwę obwodową – z wydłużonych komórek walcowatych lub gwiaździstych;
- warstwę centralną – której komórki przypominają zawiązek zęba.
Pod względem mikroskopowym wyróżnia się sześć podtypów szkliwiaka:
- pęcherzykowy (folikularny) – składa się z licznych wysepek komórek, często tworzy torbiele;
- splotowaty (pleksiformny) – komórki ułożone są w podwójne rzędy „plecami do siebie”;
- akanthomatyczny – komórki tracą wypustki i tworzą w centrum guza tzw. perły keratynowe;
- podstawno-komórkowy – komórki mają bardziej płaską formę i układają się warstwowo;
- ziarnisty (granularny) – w cytoplazmie komórek widoczne są duże ziarnistości;
- desmoplastyczny – charakteryzuje się obfitą, kolagenową tkanką łączną (stromą).

Szkliwiak jednostorbielowaty (unicystyczny) to druga najczęstsza postać szkliwiaka, zaraz po formie wielotorbielowatej. Zazwyczaj rozwija się u osób w wieku 20–30 lat i może nawracać co kilka lat (średnio co siedem). Na zdjęciu rentgenowskim przypomina torbiel pęcherzykową, ale nie zawiera zawiązka zęba. Wyróżnia się dwa podtypy: luminalny – gdy ściana torbieli jest wyściełana nabłonkiem szkliwiaka; oraz intraluminalny – w którym nabłonek wrasta do wnętrza jamy torbieli. Najczęściej występuje pojedyncza torbiel, choć w niektórych przypadkach można zaobserwować kilka zmian.
Szkliwiak obwodowy (peryferyczny) jest najrzadszą postacią choroby. Występuje około dwa razy częściej u mężczyzn, a średni wiek pacjentów wynosi około 50 lat. Guz rozwija się w tkankach miękkich dziąseł, nie penetruje kości i pozostaje ograniczony do błony śluzowej. Charakteryzuje się powolnym, bezbolesnym wzrostem. W obrazie mikroskopowym przypomina szkliwiaka wielotorbielowatego typu akantomatycznego.
Szkliwiak desmoplastyczny różni się od innych postaci wyglądem radiologicznym – nie ma wyraźnych granic, a w jego strukturze widoczne są naprzemienne obszary o różnej gęstości. Taka budowa świadczy o większej agresywności tej formy. Pod mikroskopem widoczna jest luźna tkanka łączna otaczająca wyspy komórek nabłonkowych, a czasem także zmiany w obrębie tkanki kostnej.
Szkliwiak przerzutujący powstaje w wyniku złośliwienia jednej z łagodnych form. Może dawać przerzuty, najczęściej do płuc, ale także do innych narządów. W obrazie radiologicznym i histologicznym może nie różnić się od postaci łagodnej, mimo znacznie bardziej agresywnego przebiegu.
Rak ameloblastyczny (carcinoma ameloblastica) to złośliwy wariant szkliwiaka. Może rozwinąć się samoistnie lub w wyniku transformacji łagodnego guza. Komórki nowotworu są niedojrzałe, szybko się dzielą i tracą zdolność do prawidłowego różnicowania. Guz rośnie gwałtownie, jest bolesny i może naciekać na okoliczne tkanki miękkie, a także dawać przerzuty. Rozpoznanie ustala się na podstawie badania histopatologicznego.
Charakterystyczne cechy raka ameloblastycznego to obecność licznych niedojrzałych komórek z wyraźnymi jądrami (hiperchromatyzm jądrowy) oraz ognisk martwicy wynikających z zaburzeń odżywienia i metabolizmu komórek.
Powikłania szkliwiaka
Wszystkie powikłania szkliwiaka są związane z jego inwazyjnym charakterem wzrostu, czyli zdolnością do wnikania w okoliczne tkanki. W przypadku długo nieleczonego, nawet łagodnego guza, może dojść do zniekształcenia rysów twarzy oraz przesunięcia zębów w wyniku ucisku na struktury kostne.
Najpoważniejszym odległym powikłaniem jest złośliwienie szkliwiaka, czyli jego przekształcenie w nowotwór złośliwy. Proces ten zwykle przebiega bezobjawowo i zostaje wykryty dopiero w zaawansowanym stadium, gdy pojawiają się przerzuty do innych narządów. Wówczas pacjent zaczyna gwałtownie tracić na wadze, odczuwa nasilony ból, a funkcjonowanie narządów objętych procesem nowotworowym ulega zaburzeniu.
Objawy przerzutów zależą od ich lokalizacji:
- w przypadku płuc – pojawia się duszność i trudności w oddychaniu;
- w przypadku kości – dochodzi do patologicznych złamań, które powstają bez urazu;
- w przypadku wnęki wątroby – może wystąpić żółtaczka mechaniczna, objawiająca się zażółceniem skóry i białek oczu.
We wczesnym stadium zmiany w wątrobie można wykryć jedynie poprzez badania biochemiczne krwi, oceniając poziom enzymów AST, ALT oraz fosfatazy alkalicznej.
Diagnostyka szkliwiaka
W przypadku podejrzenia szkliwiaka stosuje się kilka metod diagnostycznych, które pozwalają dokładnie ocenić lokalizację, rozmiar i charakter zmiany:
- RTG (ortopantomogram) – zdjęcie dwuwymiarowe ukazujące charakterystyczny obraz przypominający „bańki mydlane”, co umożliwia wstępne rozpoznanie szkliwiaka;
- CBCT (tomografia wiązki stożkowej) – trójwymiarowe badanie, które pozwala precyzyjnie określić położenie guza w kości, jego wielkość i strukturę, choć zwykle daje jedynie wstępną diagnozę;
- MRI (rezonans magnetyczny) – ocenia stopień zajęcia tkanek miękkich i ewentualne szerzenie się zmiany poza kość;
- Badanie cytologiczne i histopatologiczne – obejmuje punkcję lub trepanobiopsję w celu oceny rodzaju komórek i struktury tkanki.
Dobór metody zależy od konkretnej sytuacji klinicznej oraz rodzaju informacji potrzebnych na danym etapie diagnostyki. Pierwsze trzy badania obrazowe służą do zaplanowania zabiegu chirurgicznego i prowadzą do ostatecznego badania histopatologicznego, które wykonuje się po usunięciu guza. To właśnie analiza histologiczna pozwala dokładnie określić typ szkliwiaka.
Choć szkliwiak rzadko ulega złośliwieniu (w literaturze opisano około 30 przypadków szkliwiaka przerzutującego), w uzasadnionych sytuacjach diagnostykę poszerza się o rezonans magnetyczny całego ciała oraz badanie markerów nowotworowych, takich jak Ki-67 czy SOX2. Pozwala to ocenić potencjalną aktywność proliferacyjną komórek i podejrzewać postać złośliwą, choć ostateczne potwierdzenie uzyskuje się wyłącznie w badaniu histopatologicznym po operacji.
Ostateczne rozpoznanie i plan leczenia ustala się na podstawie pełnego zestawu badań obrazowych, laboratoryjnych i histologicznych, z uwzględnieniem ogólnego stanu pacjenta.
Diagnostyka różnicowa
| Choroba | Objawy chorób | Objawy szkliwiaka |
| Torbiel zębopochodna | Najczęściej występuje ząb przyczynowy z objawami martwicy miazgi. | Ząb boli, a dziąsło jest objęte stanem zapalnym. Brak zęba przyczynowego, przebieg bezobjawowy i bezbolesny. |
| Torbiel keratocystyczna zębopochodna | Na zdjęciu rentgenowskim widoczna pojedyncza komora o słabo zaznaczonych zarysach ścian. Po otwarciu w obrębie zmiany stwierdza się obecność ropy lub wysięku zapalnego. | Na zdjęciu rentgenowskim widoczny charakterystyczny obraz „baniek mydlanych”, bardziej zniszczone są okoliczne tkanki. |
| Miksoma zębopochodna | Diagnostyka różnicowa często sprawia trudności, ponieważ radiologicznie i objawowo obie zmiany są bardzo podobne. Dokładne rozpoznanie umożliwia badanie próbki pod mikroskopem w laboratorium histologicznym. | |
| Torbiel tętniakowata kości | Guz o komorach wypełnionych krwią z cienkimi, sklerotycznymi ścianami. W badaniu MRI w komorach wyraźnie widoczny jest płyn. | W “bańkach mydlanych” płyn nie jest obecny. |
| Dysplazja włóknista | Wrodzony proces nienowotworowy. Na zdjęciu rentgenowskim zmiana wygląda gładko i jednorodnie, z wyraźnie zaznaczonymi granicami. | Charakterystyczny obraz “baniek mydlanych”. |
| Ziarniniak olbrzymiokomórkowy | Zbudowany z tkanki naczyniowej z obecnością komórek olbrzymich. Nie jest to proces nowotworowy. Na zdjęciu rentgenowskim przypomina plaster miodu. | Różni się obrazem radiologicznym i histologicznym. |
Leczenie szkliwiaka
Leczenie szkliwiaka ma zawsze charakter chirurgiczny i polega na całkowitym usunięciu guza wraz z marginesem zdrowej tkanki kostnej, aby zapobiec jego nawrotowi.
W przypadku łagodnych postaci usuwa się zmianę z marginesem około 1 cm zdrowej kości. Celem zabiegu jest całkowite wycięcie wszystkich komórek nowotworowych, ponieważ szkliwiak ma tendencję do miejscowej inwazji i może odrastać nawet po wielu latach. Po resekcji często wykonuje się rekonstrukcję żuchwy z użyciem płytki tytanowej oraz przeszczepu kostnego pobranego od pacjenta (autoprzeszczep), co pozwala odtworzyć prawidłowy kształt i funkcję twarzy.
Rak ameloblastyczny (carcinoma ameloblastica) wymaga bardziej radykalnego leczenia chirurgicznego – usuwa się guz z marginesem 2–3 cm zdrowej tkanki. Po operacji stosuje się radioterapię oraz chemioterapię, aby zniszczyć pozostałe komórki nowotworowe i zmniejszyć ryzyko nawrotu. Obszar po guzie jest napromieniany, a pacjent przyjmuje cytostatyki, które hamują podział komórek. Niestety, leki te działają również na zdrowe tkanki o szybkim tempie odnowy, takie jak nabłonek skóry, błony śluzowe jelit czy mieszki włosowe, co powoduje skutki uboczne.
Szkliwiak złośliwy (metastazujący) stanowi szczególną formę choroby – jego komórki mają cechy łagodne, ale mogą dawać przerzuty. W takim przypadku guz usuwa się z marginesem 1–2 cm zdrowych tkanek. Radioterapia i chemioterapia nie są zazwyczaj stosowane, ponieważ nie wpływają znacząco na rokowanie ani na częstość nawrotów.
Zabieg powinien być przeprowadzony przez doświadczonego chirurga – najlepiej specjalistę chirurgii szczękowo-twarzowej, onkochirurga, chirurga plastycznego lub otorynolaryngologa. Wskazane jest zastosowanie techniki oszczędzającej, która pozwala zachować funkcję żuchwy, ograniczyć zniekształcenia twarzy i zmniejszyć ryzyko powikłań.
Jeżeli guz rozwija się wewnątrz kości, wykonuje się częściową resekcję żuchwy z zachowaniem jej ciągłości. Gdy natomiast szkliwiak obejmuje brzeg kości, przeprowadza się resekcję przez całą jej grubość. W sytuacji, gdy nowotwór zajmuje wyrostek kłykciowy, wykonuje się egzartykulację żuchwy wraz z guzem w granicach zdrowych tkanek.
Leczenie chirurgiczne szkliwiaka często nie kończy się na samym usunięciu guza. Problemem jest to, że choroba przez długi czas rozwija się bezobjawowo, co sprawia, że diagnoza zwykle stawiana jest dopiero wtedy, gdy guz osiągnie znaczne rozmiary. W takim stadium zabieg chirurgiczny wymaga usunięcia dużej części kości, a czasem także tkanek miękkich, co prowadzi do zaburzeń funkcji układu zębodołowo-szczękowego oraz widocznych zmian w rysach twarzy.
Z tego powodu po resekcji szkliwiaka często przeprowadza się zabiegi rekonstrukcyjne mające na celu odtworzenie utraconych struktur i przywrócenie prawidłowej estetyki twarzy. Proces rehabilitacji po takich operacjach jest zazwyczaj długotrwały i wymaga cierpliwości zarówno ze strony pacjenta, jak i zespołu medycznego.
Do najczęściej wykonywanych operacji rekonstrukcyjnych należą:
- przeszczep kostny – pozwala odbudować usunięty fragment żuchwy lub szczęki, przywracając stabilność i kształt kości;
- przeszczep skóry lub tkanek miękkich – wykonywany w sytuacji, gdy zabieg spowodował deformację mięśni, skóry lub błony śluzowej twarzy.
Po operacji pacjent powinien pozostać w szpitalu przez kilka dni lub przebywać na zwolnieniu lekarskim w domu, aby zapewnić odpowiedni odpoczynek i nie obciążać operowanej okolicy. W większości przypadków konieczne jest czasowe unieruchomienie żuchwy (immobilizacja szczęk), które umożliwia prawidłowe gojenie tkanek i zapobiega przemieszczeniu przeszczepów.
Rokowanie. Profilaktyka
Łagodny szkliwiak ma dużą tendencję do nawrotów. Nawet po prawidłowo przeprowadzonym zabiegu chirurgicznym komórki guza mogą pozostać w kości i po kilku latach ponownie zacząć się namnażać. W takich przypadkach konieczne jest ponowne leczenie operacyjne, które często wymaga także zabiegów rekonstrukcyjnych, by odtworzyć prawidłowy kształt i funkcję żuchwy.
Szkliwiak przerzutujący oraz rak ameloblastyczny (carcinoma ameloblastica) występują wyjątkowo rzadko, dlatego trudno jednoznacznie określić ich rokowanie. W przypadku raka ameloblastycznego przebieg choroby jest zwykle agresywny, natomiast szkliwiak przerzutujący, mimo że rozprzestrzenia się do innych narządów, zachowuje niektóre cechy guza łagodnego.
Profilaktyka szkliwiaka
Nie istnieją skuteczne metody zapobiegania tej chorobie, ponieważ jej przyczyny wciąż nie są poznane. Najważniejszą rolę odgrywa wczesne wykrycie zmian w kościach szczęki lub żuchwy – im szybciej guz zostanie zdiagnozowany, tym łatwiejsze i mniej rozległe jest leczenie.
Zaleca się:
- regularne wizyty u stomatologa co najmniej raz na sześć miesięcy;
- konsultację lekarską w przypadku zauważenia asymetrii twarzy, bólu, przesunięcia zębów lub pojawienia się zgrubienia w okolicy żuchwy;
- szczególną czujność u osób, które w przeszłości miały usuniętego szkliwiaka, ponieważ ryzyko nawrotu choroby pozostaje wysokie przez wiele lat po zabiegu.