1. Home
  2. Stomatologia
  3. Anomalie kształtu i wielkości zębów

Anomalie kształtu i wielkości zębów

Definicja choroby. Przyczyny choroby

Anomalie kształtu i wielkości zębów to odchylenia od normy w rozwoju zębów oraz układu zębowo-szczękowego, które mogą mieć charakter wrodzony lub nabyty.

Anomalie rozwojowe zębów

Wady rozwojowe układu zębowo-szczękowego dzieli się na dwie główne grupy:

  • duże (wrodzone) – obejmujące poważne defekty, takie jak rozszczep wargi (zajęcza warga) i rozszczep podniebienia (wilcza paszcza);
  • małe – do których zalicza się anomalie wyrzynania, liczby, kształtu, wielkości i struktury zębów.

W przeciwieństwie do wad wrodzonych, małe anomalie nie prowadzą do ciężkich zaburzeń funkcjonalnych ani nie stanowią zagrożenia dla życia pacjenta. Mogą jednak znacząco wpływać na estetykę uśmiechu, utrudniać leczenie stomatologiczne i ortodontyczne, a także sprzyjać rozwojowi próchnicy (caries dentium), wad zgryzu (wady zgryzu) i innych powikłań w obrębie jamy ustnej.

W niniejszym artykule omówiono najczęściej spotykane drobne anomalie kształtu i wielkości zębów, takie jak makrodoncja (macrodontia), mikrodoncja (microdontia) oraz zrośnięcie zębów (fuzja). Wskaźniki ich występowania i rozpowszechnienia przedstawiono w tabeli poniżej.

Typy anomaliiPodtypy anomaliiCzęstość występowania w populacji (%)Rozpowszechnienie anomalii (%)
Anomalie rozmiaruMakrodoncja0,420,16
Mikrodoncja7,873,08
Anomalie kształtuZrośnięcie i połączenie zębów0,210,08
Taurodontyzm11,274,41

Podtypy anomalii i przyczyny ich rozwoju

Anomalie kształtu i wielkości zębów mogą powstawać w wyniku działania niekorzystnych czynników już w okresie rozwoju płodowego. Wpływają one na proces formowania się zawiązków zębów i różnicowania tkanek twardych, prowadząc do odchyleń w ich kształcie, rozmiarze lub strukturze.

Do najczęstszych czynników sprzyjających rozwojowi tych anomalii należą:

  • przyjmowanie leków w czasie ciąży, zwłaszcza antybiotyków z grupy tetracyklin;
  • dodatki chemiczne do żywności i konserwanty;
  • infekcje wirusowe lub bakteryjne u matki;
  • kontakt z toksynami przemysłowymi i metalami ciężkimi (np. ołów, rtęć, kadm);
  • spożywanie alkoholu;
  • palenie tytoniu oraz używanie innych substancji psychoaktywnych.

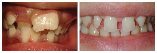
Jednym z najczęściej występujących podtypów jest makrodoncja (macrodontia) – powiększenie zębów, w którym korona jest nienaturalnie duża, a korzeń często bywa zwężony. Zmiana może dotyczyć zarówno wszystkich zębów (makrodoncja uogólniona), jak i pojedynczych zębów (makrodoncja miejscowa).

Makrodoncja częściej występuje u mężczyzn. Szacunkowa częstość jej występowania w uzębieniu stałym wynosi od 0,03% do 1,9%. Zbyt duża korona zęba może utrudniać jego prawidłowe wyrzynanie (erupcję), powodować stłoczenie w łuku zębowym (łuk zębowy) oraz prowadzić do rozwoju wad zgryzu (wady zgryzu).

Makrodoncja

Mikrodoncja (microdontia) to anomalia rozwojowa polegająca na zmniejszeniu rozmiarów jednego, kilku lub wszystkich zębów [6]. Zęby dotknięte tą wadą mają zwykle charakterystyczny, stożkowaty kształt (tzw. zęby stożkowate), a ich korony są węższe i krótsze niż u osób z prawidłowym uzębieniem.

Według badań epidemiologicznych częstość występowania mikrodoncji wynosi od 1,5% do 2% populacji i częściej obserwuje się ją u kobiet niż u mężczyzn. Występuje zarówno w uzębieniu mlecznym, jak i stałym, najczęściej obejmując boczne siekacze szczęki oraz trzecie trzonowce (zęby mądrości).

Drobna anomalia rozwojowa zębów

Makrodoncja (macrodontia) i mikrodoncja (microdontia) mogą mieć podłoże dziedziczne, zwłaszcza jeśli podobne wady występowały u rodziców lub bliskich krewnych. Rozwój tych anomalii jest ściśle związany z etapami formowania się zawiązków zębów stałych (pęcherzyków zębowych), które powstają od około 5. miesiąca życia płodowego do mniej więcej 3. roku życia dziecka. Liczba i nasilenie zaburzeń zależą więc od momentu, w którym na rozwijający się organizm zadziałały czynniki szkodliwe — takie jak choroby matki, zatrucia, przyjmowanie leków, niedobory witamin czy infekcje w czasie ciąży.

Do grupy anomalii kształtu zęba zalicza się również taurodontyzm (taurodontyzm, ząb byczy). Cechuje się on powiększoną komorą miazgi (pulpa zęba), czyli wewnętrzną częścią zęba zawierającą naczynia krwionośne, nerwy i tkankę łączną. Podstawa komory miazgi jest przesunięta w stronę wierzchołka korzenia, natomiast przewężenie w okolicy połączenia szkliwno-cementowego (połączenie szkliwno-cementowe) jest słabo zaznaczone lub całkowicie nieobecne. W efekcie korona zęba wydaje się wydłużona, a korzenie – krótsze i bardziej zbieżne.

Stopnie taurodontyzmu (taurodontismus)

Taurodontyzm (taurodontyzm) może występować w każdym wieku, jednak najczęściej rozpoznaje się go u pacjentów w wieku 13–19 lat [11]. Wcześniej zazwyczaj nie daje żadnych objawów klinicznych, ponieważ korzenie zębów trzonowych (zęby żujące) kończą się formować dopiero około 13. roku życia. Wykrycie tej anomalii następuje najczęściej przypadkowo – podczas wykonywania zdjęcia rentgenowskiego (RTG) szczęki lub żuchwy.

Ewaginacja zęba (evaginatio dentis) to anomalia rozwojowa dotycząca korony zęba, powstająca w trakcie formowania się zawiązków zębów. Objawia się obecnością dodatkowego guzka (wypukłości) na powierzchni korony, zbudowanego ze szkliwa (enamelum) i zębiny (dentinum). Guzek ten może mieć różny rozmiar, kształt oraz umiejscowienie – od niewielkiego zgrubienia po wyraźną strukturę w kształcie rogu, stożka lub piramidy.

W literaturze medycznej ewaginacja zęba występuje również pod innymi nazwami: guzkowate uwypuklenie, guzek pazurowaty (claw cusp), przedtrzonowiec Leonga (zęby Leonga) lub perła szkliwna okluzyjna (perła szkliwna okluzyjna). Anomalia ta może dotyczyć zarówno zębów mlecznych, jak i stałych, najczęściej przedtrzonowców, i może prowadzić do problemów funkcjonalnych – m.in. nadmiernego kontaktu z zębami przeciwstawnymi czy zwiększonego ryzyka pęknięcia szkliwa.

Evaginacja zęba

Przyczyny rozwoju ewaginacji zęba (evaginatio dentis) nie są w pełni poznane, jednak badania wskazują na istotny udział czynników genetycznych, w szczególności mechanizmów dziedziczenia sprzężonego z chromosomem X oraz dziedziczenia autosomalnie dominującego.

  • W przypadku dziedziczenia sprzężonego z chromosomem X anomalia występuje wyłącznie u mężczyzn, podczas gdy kobiety są jedynie nosicielkami zmutowanego genu.
  • Przy dziedziczeniu autosomalnie dominującym cecha może ujawniać się zarówno u chłopców, jak i u dziewczynek, a przynajmniej jeden z rodziców również wykazuje podobne zaburzenie rozwojowe.

Inwaginacja zęba (dens invaginatus, „ząb w zębie”) to wada polegająca na wpukleniu szkliwa (enamelum) do wnętrza korony zęba, co powoduje powstanie wewnętrznego zagłębienia przypominającego kieszeń. Proces ten zachodzi jeszcze przed rozpoczęciem mineralizacji tkanek zęba, czyli w okresie życia płodowego [13]. Inwaginacja może obejmować dowolny ząb, lecz najczęściej dotyczy górnych siekaczy bocznych (zęby przednie).

Ząb z inwaginacją bywa bardziej podatny na próchnicę i zapalenie miazgi, ponieważ w obrębie zagłębienia łatwo gromadzą się bakterie i resztki pokarmu, a czyszczenie tej okolicy jest utrudnione.

Inwaginacja zęba

Objawy anomalii kształtu i wielkości zębów

W przypadku makrodoncji (macrodontia) dochodzi do powiększenia jednego lub kilku zębów, co powoduje brak wystarczającej ilości miejsca w łuku zębowym. W efekcie inne zęby ulegają przemieszczeniu, a łuki zębowe deformują się i tracą prawidłowy kształt. Taki stan często prowadzi do stłoczenia zębów, zaburzeń zgryzu oraz problemów z prawidłowym żuciem.

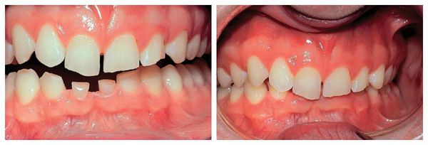
Przy mikrodoncji (microdontia) sytuacja jest odwrotna — zęby (pojedyncze lub kilka) są mniejsze niż norma, co skutkuje powstawaniem przerw między nimi (szpar, diastem). Zęby mogą mieć również stożkowaty kształt, a nadmierne odstępy wpływają na estetykę uśmiechu, fonetykę oraz prawidłowe rozłożenie sił żucia.

Makrodoncja (po lewej) i mikrodoncja (po prawej)

Podwojenie i zlanie zębów (fuzja lub germinacja) najczęściej prowadzą do problemów estetycznych — zęby wydają się zbyt duże, asymetryczne lub mają nieregularny kształt. Od typowego stłoczenia zębów (stłoczenie zębowe) można je odróżnić jedynie na podstawie badania rentgenowskiego, które pokazuje, czy zęby mają wspólne korzenie lub komory miazgi.

Przy taurodontyzmie (taurodontyzm) wygląd zewnętrzny zęba jest prawidłowy, ponieważ jego trzon i korzenie są przesunięte w głąb wyrostka zębodołowego (brzeg zębodołowy), co sprawia, że zmiana jest niewidoczna klinicznie. Anomalię tę można wykryć wyłącznie na zdjęciu rentgenowskim, gdzie widoczna jest powiększona komora miazgi i skrócone korzenie.

Inwaginacja zęba (dens invaginatus) i ewaginacja zęba (evaginatio dentis) nie tylko pogarszają estetykę, ale też zwiększają ryzyko gromadzenia się płytki nazębnej i resztek pokarmowych, co sprzyja rozwojowi próchnicy (caries dentium). Dodatkowo ewaginacja może powodować urazy języka podczas żucia lub mówienia. W niektórych przypadkach prowadzi także do bólu w obrębie stawu skroniowo-żuchwowego (staw skroniowo-żuchwowy, TMJ) z powodu nadmiernego nacisku i przeciążenia wystającego guzka.

Próchnica w zębach z inwaginacją

Patogeneza anomalii kształtu i wielkości zębów

Przyczyny izolowanej makrodoncji (macrodontia izolowana), w której powiększeniu ulega tylko jeden lub kilka zębów, pozostają nieznane. Uważa się, że mogą mieć charakter lokalny, związany z zaburzeniem rozwoju pojedynczego zawiązka zęba lub jego nadmiernym ukrwieniem w okresie formowania.

Makrodoncja uogólniona (macrodontia uogólniona), obejmująca wszystkie zęby jednej szczęki lub całego uzębienia, jest natomiast powiązana z chorobami ogólnoustrojowymi i zespołami genetycznymi, takimi jak:

  • cukrzyca typu 2 (diabetes mellitus typu 2, insulinooporna);
  • gigantyzm przysadkowy (gigantyzm przysadki);
  • zespół Costena (zespół stawu skroniowo-żuchwowego);
  • hemihiperplazja twarzy (hemihyperplasia faciei);
  • zespół KBG;
  • zespół Ekmana–Westborga–Julina;
  • zespół disomii chromosomu 47, XYY.

Wszystkie te zaburzenia wynikają z anomalii rozwoju tkanek i narządów, które wpływają na wzrost całego układu kostnego, w tym struktur zębowych.

Mikrodoncja uogólniona (microdontia uogólniona) występuje rzadko i jest zwykle częścią zespołów genetycznych, takich jak:

  • karłowatość przysadkowa (nanizm przysadkowy);
  • zespół Gorlin–Chaudhry–Moss;
  • zespół Williamsa (tzw. „twarz elfa”).

W takich przypadkach zęby są proporcjonalnie mniejsze do ogólnej wielkości twarzy i szczęki, co nadaje charakterystyczny wygląd profilu pacjenta.

Podczas zlania lub zrośnięcia zębów (fuzja, germinacja) dochodzi do zaniku więzadła ozębnej (więzadło przyzębia), które w prawidłowych warunkach oddziela korzeń zęba od kości wyrostka zębodołowego. W wyniku braku kości międzyzębowej (kość międzyzębowa) i utraty bodźców funkcjonalnych w przyzębiu warstwy cementu korzeni zębów mogą się ze sobą połączyć. Prowadzi to do zrośnięcia korzeni i utraty fizjologicznej ruchomości zęba, co może utrudniać leczenie ortodontyczne lub ekstrakcję.

Zęby zrośnięte i rozdwojone

Taurodontyzm (taurodontyzm, “byczy ząb”) powstaje w wyniku opóźnienia procesu wapnienia (kalcyfikacji) komory miazgi (pulpa dentis) w okresie formowania się zęba. W prawidłowym rozwoju na tym etapie dochodzi do zwężenia komory i kształtowania korzeni, natomiast w przypadku taurodontyzmu komora miazgi pozostaje powiększona i wydłużona w kierunku wierzchołków korzeni.

W efekcie dochodzi do przesunięcia połączenia szkliwno-cementowego (połączenie szkliwno-cementowe) w głąb zęba, skrócenia korzeni i powiększenia komory miazgi. Ząb przybiera charakterystyczny wygląd — jest „wydłużony” od strony korony, z nisko położonym dnem komory i krótkimi kanałami korzeniowymi.

Taurodontyzm może występować izolowanie, jako pojedyncza anomalia bez innych zaburzeń rozwojowych, ale często jest również elementem chorób genetycznych lub metabolicznych, takich jak:

  • hipofosfatazja (hypophosphatasia) – zaburzenie mineralizacji kości i zębów;
  • zespół Klinefeltera (syndrom Klinefeltera) – schorzenie genetyczne u mężczyzn z dodatkowym chromosomem X;
  • zespół Downa (syndrom Downa);
  • zespół Martina–Bella (syndrom Martina–Bella, zespół łamliwego chromosomu X) – choroba powodująca opóźnienie rozwoju intelektualnego;
  • zespół Mora (syndrom Mora) – rzadka choroba o podłożu genetycznym;
  • zespół tricho–dento–kostny (tricho–dento–osseous syndrome) – charakteryzujący się zaburzeniami w strukturze włosów, kości i zębów;
  • zespół Maroteaux–Lamy (syndrom Maroteaux–Lamy) – mukopolisacharydoza typu VI, związana z zaburzeniami metabolizmu tkanki łącznej.

Anomalia ta jest często wykrywana przypadkowo podczas zdjęcia rentgenowskiego, ponieważ zęby z taurodontyzmem wyglądają z zewnątrz normalnie, a zmiany dotyczą wyłącznie ich wewnętrznej struktury.

Ewaginacja zęba (dentalna ewaginacja) rozwija się w okresie formowania zawiązka zęba (folliculus dentis) i polega na powstaniu dodatkowego guzka lub wypukłości na powierzchni korony. Uważa się, że przyczyną jest uwypuklenie wewnętrznego nabłonka szkliwnego oraz brodawki zębowej (papilla dentis) w kierunku siateczki gwiaździstej (reticulum stellatum) – skupiska komórek zlokalizowanych nad węzłem szkliwa (enamel knot), które normalnie zanikają po utworzeniu pierwszej warstwy szkliwa. Jeśli do takiego uwypuklenia dojdzie przed zakończeniem tego etapu, powstaje dodatkowy guzek, czyli ewaginacja.

Powstała wypukłość może mieć różny kształt – rogowy, stożkowaty lub piramidalny – i zbudowana jest ze szkliwa (enamelum) oraz zębiny (dentinum). W zależności od lokalizacji może utrudniać żucie, powodować urazy języka lub zaburzać prawidłowy kontakt zębów podczas zwarcia.

Inwaginacja zęba (dentalna inwaginacja, „ząb w zębie”) ma złożony i nie do końca poznany mechanizm rozwoju. Większość badaczy uważa, że powstaje w wyniku zaburzenia wzrostu szkliwa (enamelum) podczas jego formowania. W niektórych przypadkach dochodzi do zagięcia szkliwa do wnętrza korony pod wpływem nacisku łuku zębowego (arcus dentalis), a w innych — do zahamowania wzrostu szkliwa, podczas gdy pozostałe tkanki (zębina, miazga) rozwijają się prawidłowo.

W rezultacie część szkliwa zapada się do wnętrza zęba, tworząc charakterystyczne wgłębienie (inwaginację), które może sięgać aż do komory miazgi. Taka budowa sprzyja gromadzeniu płytki nazębnej i rozwojowi próchnicy, dlatego inwaginacja wymaga regularnej kontroli stomatologicznej i często profilaktycznego zabezpieczenia szczelin lakierem lub materiałem kompozytowym.

Klasyfikacja i etapy rozwoju anomalii kształtu i wielkości zębów

Makrodoncja (makrodentia) może występować w kilku postaciach – rzeczywistej (prawdziwej) lub względnej (pozornej), a także jako zjawisko zlokalizowane (częściowe) lub uogólnione (pełne).

  • Makrodoncja rzeczywista (vera) – zęby są faktycznie powiększone, ich korony i korzenie mają większe wymiary niż wartości uznawane za fizjologiczne;
  • Makrodoncja względna (relativa) – rozmiar zębów jest prawidłowy lub nieznacznie zwiększony, ale ze względu na małą, niedorozwiniętą szczękę wydają się one zbyt duże i ciasno ułożone w łuku zębowym.

Ze względu na rozległość zmian wyróżnia się:

  • Makrodoncję zlokalizowaną – obejmuje jeden lub kilka zębów, które są powiększone bez innych nieprawidłowości morfologicznych;
  • Makrodoncję uogólnioną – wszystkie zęby w jamie ustnej mają większe rozmiary niż norma, zwykle w przebiegu chorób endokrynologicznych lub genetycznych.

Makrodoncję i mikrodoncję zębów stałych klasyfikuje się w czterech grupach:

  1. anomalia rozmiaru pojedynczych zębów;
  2. anomalia rozmiaru grupy zębów;
  3. anomalia rozmiaru zębów w jednej szczęce;
  4. anomalia rozmiaru wszystkich zębów w jamie ustnej.

Inwaginacja zęba (invaginatio dentis), czyli “ząb w zębie”, klasyfikowana jest według stopnia głębokości zmian strukturalnych:

  1. Typ I – niewielka inwaginacja pokryta szkliwem (enamelum), ograniczona do korony zęba, nieprzekraczająca połączenia szkliwno-cementowego (junctio amelocementalis);
  2. Typ II – inwaginacja pokryta szkliwem wnika w korzeń zęba, tworząc ślepą kieszeń, która może mieć kontakt z miazgą (pulpa dentis), co zwiększa ryzyko zapalenia;
  3. Typ III – inwaginacja przechodzi przez cały korzeń zęba i kończy się dodatkowym otworem w okolicy wierzchołka lub bocznej powierzchni korzenia (foramen accessorium); nie łączy się z miazgą, a jej ściany mogą być pokryte szkliwem (enamelum) lub cementem (cementum).

Najczęściej inwaginacje dotyczą górnych siekaczy bocznych i mogą być bezobjawowe przez wiele lat, jednak ze względu na utrudnione oczyszczanie powierzchni wewnętrznych, sprzyjają powstawaniu próchnicy i wymagają profilaktycznego zabezpieczenia lakierem lub materiałem kompozytowym.

Typy inwaginacji zęba

Taurodontyzm (taurodontyzm, “byczy ząb”) klasyfikuje się na podstawie stopnia wydłużenia komory miazgi (cavum pulpae dentis) i przesunięcia jej dna w kierunku wierzchołków korzeni. Oceny dokonuje się za pomocą współczynnika CB:R, który określa stosunek długości komory miazgi (CB) do długości korzeni (R).

Na tej podstawie wyróżnia się trzy typy:

  1. Hipotaurodont (hypotaurodont) – łagodny stopień: CB:R = 1,1–1,3. Komora miazgi jest nieznacznie powiększona, a dno komory przesunięte tylko w niewielkim stopniu.
  2. Mezotaurodont (mesotaurodont) – umiarkowany stopień: CB:R = 1,3–2. Komora miazgi jest wyraźnie wydłużona, a korzenie ulegają skróceniu. Kanały korzeniowe rozpoczynają się niżej niż zwykle.
  3. Hipertaurodont (hypertaurodont) – ciężki stopień: CB:R > 2. Komora miazgi zajmuje prawie całą długość korzenia, a jego rozgałęzienie (bifurkacja lub trifurkacja) znajduje się bardzo blisko wierzchołków.

Ten rodzaj klasyfikacji pozwala dokładnie określić stopień zmian morfologicznych w zębie i ma znaczenie praktyczne przy planowaniu leczenia endodontycznego, ponieważ struktura kanałów w taurodontyzmie może być znacznie bardziej skomplikowana.

Powikłania anomalii kształtu i wielkości zębów

Niedopasowanie rozmiaru zębów do wielkości i kształtu szczęki może prowadzić do licznych zaburzeń okluzyjnych, czyli wad zgryzu (anomalii zgryzowych). Zarówno mikrodoncja (microdentia), jak i makrodoncja (macrodontia) powodują nieprawidłowe rozmieszczenie zębów w łuku zębowym i zaburzają równowagę między szczęką a żuchwą.

Najczęstsze konsekwencje to:

  • Przerwy między zębami – powstawanie odstępów między siekaczami przyśrodkowymi (diastema) lub pomiędzy innymi zębami (tremy);
  • Stłoczenie zębów (stłoczenie łuku zębowego) – zbyt mała przestrzeń w łuku zębowym powoduje, że zęby zachodzą na siebie, obracają się lub wyrastają pod niewłaściwym kątem;
  • Przemieszczenie zębów (dislocatio dentis) – przesunięcie zębów z prawidłowego ustawienia w wyniku ograniczonej przestrzeni lub asymetrii wzrostu szczęk;
  • Obrót zębów wokół własnej osi (tortoanomalie) – skręcenie korony i korzenia, najczęściej w obrębie siekaczy i kłów;
  • Nieprawidłowy zgryz (malokluzja) – zaburzony kontakt między łukami zębowymi prowadzący do problemów z żuciem, wymową, a także do nadmiernego ścierania się zębów.

Tego rodzaju zaburzenia wymagają leczenia ortodontycznego, a w niektórych przypadkach także korekty protetycznej, aby przywrócić prawidłową funkcję żucia i estetykę uśmiechu.

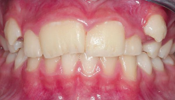
Głęboki zgryz na tle mikrodoncji

Ewagynacja zęba (ewaginacja szkliwa, dental evagination) to anomalia, w której na powierzchni korony zęba pojawia się dodatkowy guzek zbudowany z twardych tkanek – szkliwa (enamelum) i zębiny (dentinum). Choć początkowo może nie powodować dolegliwości, z czasem prowadzi do powikłań wynikających z przeciążenia mechanicznego i zwiększonego ryzyka uszkodzeń.

Najczęstsze następstwa to:

  • Martwica miazgi (necrosis pulpae) – obumarcie tkanek wewnątrz zęba w wyniku urazu lub starcia guzka, przez co bakterie mogą dostać się do wnętrza zęba;
  • Zakażenie okołowierzchołkowe (infectio periapicalis) – infekcja w obrębie tkanek otaczających wierzchołek korzenia, która może prowadzić do zapalenia kości lub utraty zęba;
  • Przeciążenie okluzyjne (overload occlusalis) – dodatkowy guzek zaburza prawidłowe zwarcie (okluzję), przez co siły żucia rozkładają się nierównomiernie;
  • Ból w obrębie dziąseł lub stawu skroniowo-żuchwowego (articulatio temporomandibularis) – wynikający z długotrwałego napięcia mięśni żucia i nieprawidłowego kontaktu zębów.

W przypadku ewagynacji w zębach przednich guzek może sięgać aż do krawędzi siecznej, co powoduje dyskomfort estetyczny, utrudnia wymowę i zwiększa ryzyko urazu mechanicznego. Wczesne rozpoznanie jest istotne, ponieważ profilaktyczne zeszlifowanie lub zabezpieczenie guzka materiałem kompozytowym może zapobiec pęknięciu i martwicy miazgi.

Evaginacja górnego siekacza

Zęby z ewaginacją szkliwa (ewaginacją zęba, dental evagination) charakteryzują się obecnością dodatkowego guzka, na którego powierzchni często występują głębokie bruzdy (szczeliny, fissurae). W tych zagłębieniach łatwo gromadzi się płytka nazębna i resztki pokarmowe, co sprzyja rozwojowi próchnicy (caries dentium) oraz zapaleniu dziąseł. Z tego powodu zęby z ewagynacją wymagają szczególnie dokładnej higieny oraz regularnego nadzoru stomatologicznego.

Inwaginacja zęba (inwaginacja szkliwa, dental invagination) i taurodontyzm (taurodontyzm, „byczy ząb”) zwykle nie powodują poważnych powikłań, jednak ich nietypowa budowa anatomiczna stanowi wyzwanie w leczeniu endodontycznym (leczeniu kanałowym). Kanały korzeniowe w takich zębach są często bardzo wąskie, nieregularne i rozgałęzione, co utrudnia ich opracowanie i dokładne wypełnienie (obturację kanałów).

Z tego względu leczenie takich przypadków powinno być prowadzone przez doświadczonego endodontę, najlepiej z użyciem mikroskopu zabiegowego, który umożliwia precyzyjne oczyszczenie i uszczelnienie kanałów.

Diagnostyka anomalii kształtu i wielkości zębów

Do diagnostyki anomalii rozmiaru zębów (anomalii wielkości zębów) wykorzystuje się różne techniki pomiarowe, z których jedną z najbardziej znanych jest metoda dr hab. n. med. L. Zubkowa. Polega ona na precyzyjnym zmierzeniu i zsumowaniu szerokości czterech górnych i czterech dolnych siekaczy (incisivi), co pozwala na ocenę proporcji między rozmiarem zębów a szerokością łuków zębowych.

Normatywne wartości szerokości siekaczy:

  • siekacze górne – 28–32 mm;
  • siekacze dolne – 22–24 mm.

Makrodoncja względna (relative macrodontia):

  • siekacze górne – 33–34 mm;
  • siekacze dolne – 25–27 mm.

Makrodoncja bezwzględna (absolute macrodontia):

  • powyżej 35 mm (górne);
  • powyżej 28 mm (dolne).

Mikrodoncja (microdentia):

  • poniżej 28 mm (górne);
  • poniżej 22 mm (dolne).

Zaburzenia takie jak zrośnięcie (fuzja) czy podwojenie zębów (geminacja) najczęściej dotyczą zębów przednich, szczególnie siekaczy, natomiast zrost korzeni (ankyloza, zrośnięcie) spotyka się głównie w obrębie drugich i trzecich trzonowców (molares) szczęki.

Do postawienia rozpoznania wystarczające jest badanie kliniczne uzupełnione zdjęciem rentgenowskim (radiogramem), które pozwala na ocenę liczby i kształtu korzeni oraz stopnia ewentualnego zlania tkanek.

Rozdwojony ząb (po lewej) i zrośnięte zęby (po prawej): wygląd zewnętrzny i zdjęcie rentgenowskie

Taurodontyzm (taurodontyzm, „byczy ząb”) to anomalia budowy wewnętrznej zęba, którą można rozpoznać wyłącznie na podstawie zdjęcia rentgenowskiego (radiogramu), ponieważ z zewnątrz ząb zachowuje prawidłowy kształt i rozmiar.

Charakterystyczną cechą taurodontyzmu jest poszerzona komora miazgi (pulpa dentis) o kształcie prostokątnym, wydłużony trzon zęba (corpus dentis) oraz skrócone korzenie i kanały korzeniowe (radices et canales radiculares). W efekcie korona zęba (corona dentis) pozostaje prawidłowej wielkości, ale cała struktura zęba wygląda na „wydłużoną” w kierunku wierzchołków korzeni.

Taka budowa utrudnia leczenie endodontyczne (leczenie kanałowe) – kanały są krótsze, często o nieregularnym przebiegu, a ich ujścia położone są głębiej niż w zębach prawidłowych. Z tego względu leczenie taurodontyzmu wymaga dużej precyzji oraz doświadczenia lekarza, a w wielu przypadkach także zastosowania mikroskopu zabiegowego.

Taurodontyzm na zdjęciu rentgenowskim

Taurodontyzm (taurodontyzm, „byczy ząb”) należy różnicować z dziedzicznymi zaburzeniami rozwoju zębiny (dysplazją zębiny, dentinogenesis imperfecta). Na zdjęciu rentgenowskim (radiogramie) w obu przypadkach obserwuje się powiększoną komorę miazgi (pulpa dentis) oraz szerokie otwory wierzchołkowe (foramina apicalia), jednak w dysplazji zębiny korzenie (radices) są niedorozwinięte i często niesformowane do końca, co odróżnia ją od klasycznego taurodontyzmu.

Ewagynacja zęba (ewaginacja szkliwa i zębiny, dental evagination) jest natomiast widoczna klinicznie – w postaci dodatkowego guzka lub wypukłości na powierzchni korony. Mimo że można ją rozpoznać gołym okiem, wykonanie radiogramu jest niezbędne, aby wykluczyć współistniejące anomalie, takie jak inwaginacja zęba (dental invagination) czy zęby nadliczbowe (dentes supernumerarii). Na zdjęciu rentgenowskim ewagynacja ma strukturę typową dla prawidłowych tkanek twardych – składa się z szkliwa (enamelum) i zębiny (dentinum), co potwierdza jej pochodzenie rozwojowe, a nie patologiczne.

Evaginacja zęba na zdjęciu rentgenowskim

Leczenie anomalii kształtu i wielkości zębów

Leczenie makrodoncji (powiększonych zębów) koncentruje się na poprawie estetyki uśmiechu oraz przywróceniu prawidłowej okluzji (zwarcia zębów). Postępowanie ma charakter rekonstrukcyjno-protetyczny i obejmuje następujące metody:

  • opracowanie zębów (preparacja zęba) – delikatne zeszlifowanie nadmiaru tkanek twardych w celu nadania koronie prawidłowego kształtu i proporcji;
  • pokrycie zębów licówkami (licówki, veneers) – cienkie nakładki porcelanowe lub kompozytowe, które poprawiają kształt, kolor i proporcje zębów;
  • zastosowanie koron protetycznych (korony) – pełna odbudowa zęba w przypadkach, gdy zmiana kształtu i rozmiaru wymaga większej korekcji.

Dzięki takim zabiegom uzyskuje się harmonijny wygląd łuku zębowego, poprawę estetyki uśmiechu oraz przywrócenie prawidłowej funkcji żucia, co ma znaczenie zarówno funkcjonalne, jak i psychologiczne dla pacjenta.

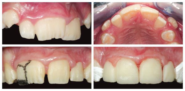
Leczenie zlokalizowanej makrodoncji

Leczenie mikrodoncji (mikrodoncja, zbyt małe zęby) polega na połączeniu terapii ortodontycznej z kompleksową rehabilitacją protetyczną, której celem jest poprawa estetyki uśmiechu i przywrócenie prawidłowej funkcji zgryzu.

Etap ortodontyczny obejmuje:

  • przemieszczanie zębów (przesuwanie zębów) w celu ich wyrównania i korekcji ustawienia;
  • zamykanie przerw między zębami (diastemy, tremy), które często towarzyszą mikrodoncji;
  • stworzenie miejsca w łuku zębowym pod przyszłe odbudowy protetyczne.

Po zakończeniu leczenia ortodontycznego następuje etap rekonstrukcji estetycznej, który może obejmować:

  • odbudowę zębów materiałem kompozytowym,
  • pokrycie zębów licówkami (licówki, veneers),
  • założenie koron protetycznych (korony) – gdy konieczna jest pełna korekta kształtu i wysokości zęba.

Dzięki temu zęby uzyskują prawidłowe proporcje, naturalny kształt i kolor, a pacjent odzyskuje estetyczny uśmiech oraz prawidłową funkcję żucia.

Odbudowa zęba stożkowatego

Leczenie zębów z anomalią kształtu (anomalia kształtu zęba) ma na celu poprawę ich estetyki, funkcji oraz zapobieganie ewentualnym powikłaniom. W zależności od rodzaju i nasilenia wady może być konieczne leczenie kompleksowe obejmujące kilka etapów:

  • zabieg chirurgiczny – np. korektę kształtu korony lub usunięcie dodatkowego guzka, jeśli powoduje uraz tkanek miękkich;
  • leczenie ortodontyczne – wyrównanie łuku zębowego, przywrócenie prawidłowego ustawienia zębów i okluzji;
  • leczenie kanałowe (dewitalizacja, usunięcie miazgi) – w sytuacji, gdy w obrębie zęba występuje stan zapalny lub martwica;
  • odbudowę protetyczną – zastosowanie licówek (licówki, veneers) lub koron (korony) w celu przywrócenia prawidłowego kształtu, koloru i proporcji zęba.

Nie każda anomalia wymaga interwencji stomatologicznej. Leczenie nie jest konieczne, jeśli:

  • nie występuje próchnica (caries dentium);
  • pacjent akceptuje wygląd zębów i nie odczuwa dyskomfortu estetycznego;
  • zwarcie zębów (okluzja) jest prawidłowe i nie powoduje przeciążenia zębów;
  • w przypadku ewaginacji zęba (ewaginacja szkliwa) dodatkowy guzek jest gładki, nie ostry i nie ulega patologicznemu starciu.

W takich sytuacjach wystarczy regularna obserwacja oraz zachowanie prawidłowej higieny jamy ustnej.

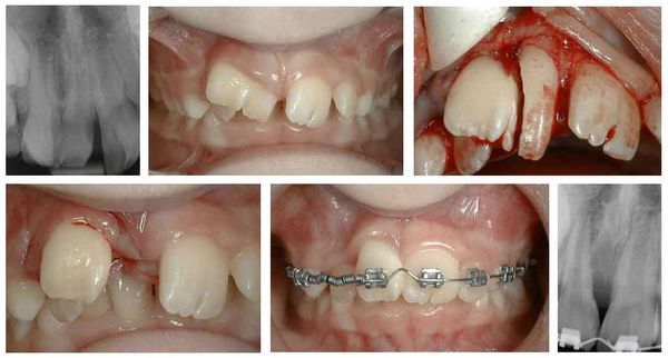
Leczenie kompleksowe zrośnięcia zębów

Racjonalne i zachowawcze leczenie zębów z anomaliami kształtu (anomalia kształtu zęba) skupia się przede wszystkim na profilaktyce próchnicy (próchnica zębów, caries dentium) i jej powikłań. Celem jest ochrona tkanek twardych oraz utrzymanie zębów w dobrym stanie funkcjonalnym i estetycznym.

Podstawowe metody obejmują:

  • Uszczelnianie bruzd (uszczelnianie szczelin, sealing fissures) – polega na wypełnieniu naturalnych zagłębień i bruzd w powierzchni żującej zęba specjalnym materiałem ochronnym (lak szczelinowy). Zabieg ten zapobiega gromadzeniu się płytki nazębnej i resztek pokarmowych w trudno dostępnych miejscach, ograniczając ryzyko próchnicy.
  • Terapia remineralizująca (terapia remineralizacyjna) – polega na stosowaniu preparatów bogatych w minerały, takich jak wapń, fluor i fosforany, które wzmacniają szkliwo, odbudowują mikroubytki i zwiększają jego odporność na działanie kwasów oraz bakterii próchnicotwórczych.

Takie zachowawcze postępowanie profilaktyczne pozwala utrzymać zęby z anomaliami w zdrowiu przez długi czas, zapobiega rozwojowi ubytków próchnicowych i często eliminuje potrzebę przeprowadzania bardziej inwazyjnych zabiegów w przyszłości.

Uszczelnianie bruzd

Postępowanie w przypadku zębów z anomaliami budowy (ewaginacja, fuzja, taurodontyzm) wymaga indywidualnego podejścia i zachowania szczególnej ostrożności podczas leczenia.

1. Ewaginacja zęba (ewaginacja szkliwa, dental evagination)

Aby zmniejszyć ryzyko złamania guzka w kształcie pazura, jego powierzchnię wzmacnia się materiałem kompozytowym (kompozyt, cement kompozytowy), który łączy guzek z koroną zęba i zapobiega jego pęknięciu.

W niektórych przypadkach wykonuje się szlifowanie zęba (wygładzenie guzka), aby zmniejszyć wysokość wypukłości i poprawić kontakt okluzyjny. Należy jednak pamiętać, że po takim zabiegu ząb może stać się bardziej wrażliwy na zimno, ciepło lub dotyk, dlatego często stosuje się preparaty desensytyzujące lub lakiery ochronne.

2. Fuzja i zrośnięcie zębów (fuzja, zrastanie zębów)

Podejrzenie fuzji pojawia się, gdy podczas leczenia ortodontycznego ząb nie reaguje na siły przesuwające lub podczas ekstrakcji stawia nietypowy opór. W takich przypadkach wykonuje się zdjęcie rentgenowskie (radiogram), które potwierdza zrost korzeni.

Leczenie obejmuje:

  • dewitalizację (leczenie kanałowe, usunięcie miazgi) – gdy połączenie obejmuje tkanki zęba;
  • chirurgiczne rozdzielenie korzeni (separacja korzeni) – jeśli to możliwe technicznie i funkcjonalnie.

Po zabiegu powierzchnie zębów zabezpiecza się materiałem kompozytowym lub koroną, aby przywrócić estetykę i funkcję.

3. Taurodontyzm (taurodontyzm, „byczy ząb”)

Nie wymaga leczenia przyczynowego, lecz wymaga szczególnej ostrożności podczas leczenia endodontycznego i protetycznego.

Podczas leczenia kanałowego należy uwzględnić powiększoną komorę miazgi i skrócone korzenie, co utrudnia lokalizację i opracowanie kanałów.

W protetyce nie zaleca się stosowania wkładów koronowo-korzeniowych (sztyftów), ponieważ takie zęby mają mniejszą powierzchnię podparcia i są mniej stabilne jako filary pod protezy.

Odpowiednio zaplanowane, zachowawcze leczenie pozwala utrzymać zęby z anomaliami w jamie ustnej przez wiele lat, zapewniając ich estetykę, funkcjonalność i trwałość.

Rokowanie. Profilaktyka

Profilaktyka anomalii zębów (anomalia zębów) powinna rozpocząć się już w okresie prenatalnym, ponieważ wiele wad rozwojowych zębów ma swoje źródło w czasie formowania tkanek płodu. Kluczowe znaczenie ma zdrowy tryb życia przyszłej matki oraz unikanie czynników, które mogą zaburzać rozwój narządów i układu stomatognatycznego dziecka.

Do czynników ryzyka należą:

  • leki przyjmowane bez zalecenia lekarza;
  • dodatki do żywności;
  • infekcje wirusowe;
  • toksyny przemysłowe;
  • alkohol;
  • dym tytoniowy;
  • oraz inne substancje chemiczne i używki wpływające na rozwój płodu.

Medyczne metody profilaktyki obejmują:

  • Konsultację genetyczną (konsultacja genetyczna) – szczególnie zalecaną, jeśli w rodzinie (u rodziców lub rodzeństwa) występują wrodzone wady rozwojowe lub choroby genetyczne;
  • Diagnostykę ultrasonograficzną (USG, ultrasonografia) – wykonywaną zgodnie z zaleceniami lekarza w kluczowych etapach ciąży: między 10.–13. tygodniem, 16.–22. tygodniem oraz w trzecim trymestrze. Badanie to pozwala wykryć nawet 60–70% nieprawidłowości rozwojowych;
  • Dodatkowe badania prenatalne – takie jak amniopunkcja (badanie płynu owodniowego), biopsja kosmówki (biopsja trofoblastu) lub badania biochemiczne krwi matki, które umożliwiają ocenę ryzyka wystąpienia wad wrodzonych.

Po urodzeniu dziecka bardzo ważna jest profilaktyka próchnicy (próchnica zębów, caries dentium), zwłaszcza w przypadku występowania anomalii kształtu zębów (anomalia kształtu zęba).

U dzieci z zrośniętymi lub połączonymi zębami (fuzja zębów) zaleca się:

  • wykonanie rekonstrukcji (odbudowy) powierzchni zęba;
  • uszczelnianie bruzd (uszczelnianie szczelin, sealing fissures);
  • spłycenie głębokich bruzd (redukcja bruzd), aby ograniczyć gromadzenie się płytki nazębnej i resztek pokarmowych.

Dzięki takim działaniom można skutecznie zapobiec rozwojowi próchnicy i jej powikłań oraz utrzymać zdrowie jamy ustnej dziecka od najmłodszych lat.

Czy ten artykuł był pomocny?

Powiązane artykuły