Definicja choroby. Przyczyny choroby
Bezzębie (adentia) to schorzenie, w którym u człowieka brakuje jednego, kilku lub wszystkich zębów. Gdy brak obejmuje całe uzębienie, stan ten określa się jako całkowite bezzębie.

Przyczyny bezzębia
Dziedziczna postać bezzębia występuje u około 63% osób z tym schorzeniem. Naukowcy uważają, że częstość występowania tej anomalii zależy nie tylko od czynników genetycznych, ale również od wpływów środowiskowych – takich jak miejsce zamieszkania, klimat, stan środowiska i inne warunki.
Ze względu na przyczyny powstawania bezzębie dzieli się na dwa typy:
- pierwotne (rzeczywiste) – występuje u około 0,9% pacjentów zgłaszających się do stomatologa;
- wtórne (nabyte) – pojawia się po utracie już wyrzniętych zębów.
Bezzębie pierwotne
W przypadku bezzębia pierwotnego od urodzenia brakuje zawiązka jednego lub kilku zębów – mlecznych albo stałych. Dzieje się tak, ponieważ zawiązek zęba rozwija się nieprawidłowo lub w ogóle się nie tworzy. Według badań N.W. Bondarec, u 92,46% osób z częściowym brakiem zębów mlecznych brakowało również zawiązków odpowiadających im zębów stałych.
Bezzębie wtórne
Bezzębie wtórne powstaje w wyniku urazu zawiązka zęba w dzieciństwie lub w następstwie stanów zapalnych już wyrzniętych zębów.
Uszkodzenie zawiązków u dzieci często wynika z nieuwagi, nadmiernej aktywności, ciekawości lub braku ostrożności. Może to prowadzić do:
- złamania korzenia,
- wbicia zęba w kość (zęba wklinowanego),
- lub jego całkowitego wybicia.
U dzieci, które podczas formowania się zawiązków zębów przechodzą chemioterapię, często występuje aplazja – całkowity brak rozwoju tych zawiązków.
Uszkodzenie może również wystąpić, gdy zawiązki zębów stałych zostaną objęte stanem zapalnym, będącym powikłaniem zapalenia ozębnej zębów mlecznych.
U dorosłych wtórne bezzębie może rozwijać się z różnych przyczyn, takich jak:
- Paradontoza (zapalenie przyzębia) – utrata jednego lub kilku zębów w wyniku stanu zapalnego tkanek przyzębia i kości szczęk.
- Próchnica i zapalenie miazgi (pulpitis) – w zaawansowanych przypadkach, aby zapobiec rozprzestrzenianiu się infekcji na otaczające tkanki, konieczne jest usunięcie zęba.
- Zmiany dystroficzne przyzębia (zapalenie dziąseł – gingivitis, zapalenie przyzębia – periodontitis) – prowadzą do osłabienia dziąseł i zniszczenia tkanek utrzymujących zęby.
- Urazy zębów i szczęk – mogą wynikać z uderzeń, nieprawidłowego leczenia protetycznego, urazów mechanicznych lub chemicznych.
- Choroby przewlekłe (np. nadciśnienie tętnicze, cukrzyca) – pogarszają ukrwienie i przemianę materii, co sprzyja szybszemu niszczeniu zębów.
- Niekorzystne nawyki (palenie, żucie twardych przedmiotów itp.) – również zwiększają ryzyko utraty zębów.
W przypadku wystąpienia podobnych objawów skonsultuj się z lekarzem. Nie stosuj samoleczenia – to niebezpieczne dla Twojego zdrowia!
Objawy bezzębia
Głównym objawem zarówno bezzębia pierwotnego, jak i wtórnego jest przesuwanie się sąsiednich zębów po utracie jednego lub kilku z nich. Prowadzi to do zaburzenia kształtu łuku zębowego oraz zmiany krzywej okluzyjnej – umownej linii przechodzącej przez punkty styku zębów.
U podstaw tych zmian leży naturalna przebudowa tkanki kostnej po utracie zwykłego obciążenia, czyli po wypadnięciu zębów. Proces ten znany jest jako zjawisko Popowa–Godona.
Z biegiem czasu przebudowa kości postępuje, wpływając na proporcje i wygląd twarzy.

W przypadku braku leczenia całkowitego bezzębia stopniowo zmienia się kształt twarzy: usta zapadają się, bruzdy nosowo-wargowe i bródkowe stają się bardziej widoczne, kąciki ust opadają w dół, a na szyi pojawiają się zmarszczki i zarysowuje się podwójny podbródek. Żuchwa z czasem zmniejsza swoje wymiary, co dodatkowo pogłębia deformację dolnej części twarzy. U dzieci najczęściej rozwija się zębowo-wyrostkowa postać zjawiska Popowa–Godona – słabo rozwinięty wyrostek zębodołowy jednej lub obu szczęk nadaje twarzy dziecka typowy, postarzały wyraz, charakterystyczny dla bezzębnych dorosłychpacjentów.

Nawet utrata jednego do trzech zębów zaburza proces żucia. Choć pacjent może uważać, że trudności z gryzieniem są niewielkie, w układzie stomatognatycznym stopniowo zachodzą opisane wcześniej zmiany.
Zaburzenie prawidłowego zwarcia zębów wpływa na funkcjonowanie stawu skroniowo-żuchwowego (łączącego żuchwę z czaszką). Może to prowadzić do rozwoju zespołu Costena – schorzenia, którego objawami są:
- zawroty głowy,
- szumy uszne lub uczucie zatkania ucha,
- nieprawidłowe zwarcie zębów i ograniczone ruchy żuchwy,
- bóle w okolicy szyi.
Bezzębie wpływa również na wymowę, szczególnie przy braku zębów przednich, które odgrywają kluczową rolę w prawidłowym tworzeniu dźwięków.
Patogeneza bezzębia
Mechanizm rozwoju bezzębia związany jest z zaburzeniem tworzenia się zawiązka zęba. Zazwyczaj każdy ząb rozwija się z zawiązka otoczonego mieszkiem zębowym – błoną chroniącą go w początkowych etapach wzrostu. Jeśli jednak na skutek chorób, zatrucia organizmu lub stanów zapalnych mieszek ulega resorpcji, zawiązek zęba może obumrzeć. Najczęściej dzieje się to jako powikłanie zapalenia przyzębia zębów mlecznych.
Wielu badaczy uważa, że główną przyczyną bezzębia jest zaburzenie formowania zawiązka już w okresie embrionalnym. Sprzyjają temu czynniki dziedziczne oraz choroby układu hormonalnego.
Istnieją również hipotezy, że wrodzony brak zębów może być wynikiem błędów w programie genetycznym odpowiedzialnym za rozwój tkanek zęba.
Badacze w Polsce i na świecie ustalili, że przyczyną bezzębia mogą być błędy chromosomowe – czyli zaburzenia w materiale genetycznym odpowiedzialnym za rozwój zębów i szczęk.
Takie nieprawidłowości mogą wynikać z:
- odchyleń w określonych fragmentach chromosomów lub mutacji poszczególnych genów;
- jednoczesnego działania wielu genów i czynników środowiskowych (np. wpływu środowiska, diety lub chorób matki w czasie ciąży);
- zaburzeń gospodarki mineralnej (np. niedoboru wapnia i fosforu).
Czasami brak zębów nie jest samodzielnym schorzeniem, lecz objawem innej wrodzonej choroby, np.:
- dysplazji ektodermalnej hipohydroticznej – choroby dziedzicznej objawiającej się wadami rozwoju skóry, włosów, zębów i gruczołów potowych;
- dysplazji chondroektodermalnej – wrodzonej anomalii dotyczącej warstwy chrzęstnej kości oraz rozwoju włosów i zębów;
- zespołu Downa.
Wiadomo też, że pierwotne bezzębie często występuje u dzieci z rozszczepem podniebienia lub wargi (tzw. zajęczą wargą lub wilczym podniebieniem). Według obserwacji naukowców, u takich dzieci częściej brak zawiązków zębów stałych (około 34%) niż mlecznych (około 17%).
Klasyfikacja i etapy rozwoju bezzębia
Zgodnie z Międzynarodową Klasyfikacją Chorób (ICD-10) wyróżnia się kilka rodzajów bezzębia:
- K00.00 – Częściowe bezzębie – brak części zębów.Do tej grupy należą:
- hipodoncja – brak kilku zębów,
- oligodoncja – wrodzony brak większości zębów.
- K00.01 – Całkowite bezzębie – brak wszystkich zębów.
- K00.09 – Bezzębie nieokreślone – sytuacja, w której lekarz nie jest w stanie dokładnie ustalić przyczynybraku zębów.
Niektórzy specjaliści, m.in. I.M. Rasulov i M.G. Budajczijew, uważają, że ta klasyfikacja wymaga doprecyzowania lub całkowitej rewizji, ponieważ „bezzębie nieokreślone” nie stanowi faktycznego rozpoznania, lecz opisuje przypadek, w którym nie udało się ustalić przyczyny schorzenia.
Jak wspomniano wcześniej, bezzębie dzieli się na pierwotne (wrodzone) i wtórne (nabyte).
Ustalenie przyczyny jest kluczowe dla właściwego doboru metody leczenia.
Ze względu na liczbę brakujących zębów wyróżnia się:
- częściowe bezzębie – brak kilku zębów;
- całkowite bezzębie – brak wszystkich zębów.
W zależności od rozległości ubytku wyróżnia się trzy grupy:
- mały ubytek – brak jednego zęba;
- średni ubytek – brak 2–3 zębów;
- duży ubytek – brak więcej niż trzech zębów.

W praktyce stomatolodzy najczęściej posługują się klasyfikacją braków w łukach zębowych opracowaną przez amerykańskiego dentystę E. Kennedy’ego.
System ten pomaga określić, które zęby zostały utracone i jak najlepiej odtworzyć uzębienie.
Klasyfikacja Kennedy’ego obejmuje cztery klasy:
- Klasa I – brak zębów trzonowych po obu stronach,
- Klasa II – ubytek zębów po jednej stronie,
- Klasa III – ubytek zębów po jednej stronie przy zachowanej bocznej podporze,
- Klasa IV – brak zębów w odcinku przednim.

Wszystkie wymienione systemy klasyfikacji pozwalają uwzględnić różnorodne rodzaje braków w łukach zębowych. Ułatwia to lekarzowi postawienie precyzyjnej diagnozy oraz zaplanowanie optymalnego leczenia protetycznego, dostosowanego do indywidualnych potrzeb pacjenta.
Powikłania bezzębia
Powikłania adencji mogą dotyczyć różnych sfer – psychicznej, neurologicznej, stomatologicznej, a czasem także ogólnoustrojowej.
Gdy zęby całkowicie zanikają, kość, na której się opierały (wyrostek zębodołowy), stopniowo ulega zanikowi – dochodzi do atrofii kości. W rezultacie zmienia się kształt twarzy, pogarsza się estetyka uśmiechu, a to często prowadzi do kompleksów i problemów natury psychicznej.

Dlaczego przy braku zębów zanika tkanka kostna
Kiedy człowiek traci zęby, siła żucia przenosi się nie na zęby, lecz na dziąsła i kość pod nimi. Tkanki te nie są przystosowane do stałego nacisku, dlatego dochodzi do zaburzeń krążenia krwi – krew zaczyna zalegać, naczynia tracą elastyczność, a odżywienie tkanek ulega pogorszeniu. W rezultacie kość traci gęstość mineralną i stopniowo się wchłania (ulega atrofii). Dodatkowo, w wyniku zmiany rozkładu obciążenia, aktywują się osteoklasty – komórki odpowiedzialne za resorpcję (rozpad) tkanki kostnej. Niszczą one wewnętrzną strukturę kości, co prowadzi do jej dalszego zaniku.
Gdy brakuje zębów w jednym łuku, zęby przeciwstawne (antagonistyczne) tracą oparcie i zaczynają się przemieszczać. Mogą się pochylać, przesuwać lub nachodzić na siebie. W niektórych przypadkach zęby wychodzą poza łuk zębowy albo pozostają w kości jako tzw. zęby zatrzymane.

Wpływ braku zębów na ślinę i tkanki jamy ustnej
Kiedy brakuje zębów, zmienia się skład i właściwości śliny. Takie zaburzenia tworzą korzystne warunki do rozwoju chorób zębów, dziąseł oraz błony śluzowej jamy ustnej, z którymi organizm stopniowo przestaje sobie radzić:
- ślina wydziela się wolniej;
- zmienia się jej odczyn (pH);
- zmniejsza się zawartość białek ochronnych;
- osłabia się naturalna bariera przeciwbakteryjna i antyoksydacyjna (neutralizacja wolnych rodników).
Z czasem, u wszystkich osób z nabytą adencją, dochodzi do powiększenia języka (makroglosji). Jest to wynik zaburzeń w drobnych naczyniach krwionośnych języka, które prowadzą do jego stopniowego przerostu i spłaszczenia powierzchni.
Dodatkowo pozostałe zęby są przeciążone, zwłaszcza te, które znajdują się obok miejsc brakujących zębów.
Takie przeciążenie prowadzi do:
- stanu zapalnego dziąseł;
- zaniku kości wokół zębów;
- powstawania patologicznych kieszonek dziąsłowych – przestrzeni między zębem a dziąsłem, w których gromadzą się bakterie i resztki pokarmowe.

Jak brak zębów wpływa na stawy, nerwy i trawienie
Kiedy zęby nie stykają się prawidłowo lub brakuje ich części, zaburza się funkcja stawu skroniowo-żuchwowego – połączenia między żuchwą a czaszką, które umożliwia ruchy podczas żucia i mówienia.
W efekcie główki stawowe poruszają się nieprawidłowo, a otaczające tkanki ulegają przeciążeniu i stopniowej przebudowie.
Takie zaburzenia wpływają nie tylko na układ żucia, lecz także na układ nerwowy.
Jednym z najczęstszych następstw jest zespół Costena – schorzenie o charakterze neurologiczno-stomatologicznym, któremu mogą towarzyszyć:
- ból w okolicy ucha lub policzka (okolica przyuszna);
- uczucie zatkania ucha i pogorszenie słuchu;
- zawroty głowy;
- zaburzenia smaku;
- a czasem także trzaski lub przeskakiwanie żuchwy podczas otwierania ust.
Dodatkowo brak zębów trzonowych powoduje, że pokarm nie jest prawidłowo rozdrabniany, co zwiększa obciążenie układu pokarmowego.
Z czasem może to prowadzić do schorzeń takich jak:
- nieżyt żołądka (gastritis);
- zapalenie jelita grubego (colitis);
- a w cięższych przypadkach – nawet choroba wrzodowa żołądka.
Doświadczenie kliniczne pokazuje, że im wyższa świadomość zdrowotna społeczeństwa, tym rzadziej dochodzi do takich powikłań.
Regularna profilaktyka i edukacja stomatologiczna pozwalają zachować nie tylko zdrowe zęby, ale również prawidłowe funkcjonowanie całego organizmu.
Diagnostyka bezzębia
Rozpoznanie adencji zazwyczaj nie sprawia trudności, ponieważ brak zębów jest widoczny już podczas rutynowego badania stomatologicznego.
Kluczowe znaczenie ma jednak ustalenie, czy pod dziąsłem znajduje się zawiązek zęba.
Pozwala to określić, czy ząb może się jeszcze wyrznąć, czy też nigdy się nie wykształcił (co wskazuje na postać wrodzoną).
W tym celu wykonuje się ortopantomogram – panoramiczne zdjęcie rentgenowskie całego uzębienia i szczęk, które umożliwia dokładną ocenę obecności lub braku zawiązków zębów stałych.
Dodatkowo lekarz może zlecić:
- tomografię komputerową (CBCT) – do szczegółowej oceny struktur kostnych;
- wykonanie gipsowych modeli szczęk, które pomagają ocenić kształt, proporcje i stan łuków zębowych.

Pierwsze zęby mleczne pojawiają się zwykle u niemowlęcia w wieku 6–8 miesięcy, natomiast zęby stałe wyrzynają się w ich miejsce około 7–13 roku życia.
Jeśli jednak do 11–12 miesiąca życia dziecko nadal nie ma zębów, albo po wypadnięciu zęba mlecznego nowy ząb nie pojawia się w ciągu miesiąca, należy zgłosić się do stomatologa.
Lekarz wykona punktowe zdjęcie rentgenowskie, aby sprawdzić, czy pod dziąsłem znajduje się zawiązek zęba.
Dzięki temu można wcześnie potwierdzić lub wykluczyć adencję i zaplanować dalsze postępowanie.
Wczesna diagnostyka adencji często opiera się również na rozpoznaniu innych chorób wrodzonych, którym może towarzyszyć brak zębów. Do najczęstszych należą:
- Dysplazja ektodermalna anhydrotyczna – rzadkie schorzenie genetyczne, w którym dochodzi do zaburzeń rozwoju skóry, włosów, zębów i gruczołów potowych.Diagnozę stawia genetyk na podstawie badania DNA oraz wywiadu rodzinnego.
- Zespół Downa – może być wykryty jeszcze przed narodzinami dziecka, poprzez badanie wód płodowych(amniopunkcję) lub test przesiewowy z krwi żylnej matki w kierunku specyficznych markerów genetycznych.
Leczenie bezzębia
Sposób leczenia dobiera stomatolog na podstawie dokładnego badania stanu zębów, dziąseł oraz tkanki kostnej szczęk.
Celem terapii jest odtworzenie funkcji żucia, poprawa estetyki twarzy i zapobieganie dalszemu zanikowi kości.
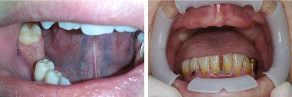
W przypadku częściowej adencji (braku kilku zębów) stosuje się zazwyczaj:
- mosty protetyczne;
- protezy szkieletowe (tzw. protezy beugelowe);
- protezy akrylowe lub nylonowe.
Most protetyczny to stała konstrukcja, która opiera się na sąsiednich zębach i zastępuje brakujący ząb lub zęby. Jest trwały, estetyczny i pozwala przywrócić prawidłowe funkcje żucia.
Proteza szkieletowa (beugelowa) jest lżejsza i wygodniejsza od tradycyjnej, ponieważ mocuje się ją za pomocą metalowego łuku i specjalnych elementów podparcia (klamer, zatrzasków lub teleskopów).
Dzięki temu lepiej rozkłada siły żucia i pozwala zachować większy komfort podczas mówienia i jedzenia.

Protetyka na implantach
Najbardziej niezawodną, estetyczną i nowoczesną metodą leczenia adencji jest protetyka oparta na implantach zębowych.
Implant zębowy to sztuczny korzeń, który wszczepia się w kość szczęki lub żuchwy w miejscu utraconego zęba. Po zrośnięciu się implantu z kością (osteointegracji) mocuje się na nim koronę protetyczną, która całkowicie zastępuje naturalny ząb – zarówno pod względem funkcji, jak i wyglądu.
Jednym z najnowszych osiągnięć implantologii są fizjologiczne implanty drukowane w technologii 3D. Dzięki tej metodzie implant może idealnie odwzorowywać naturalny kształt, rozmiar i strukturę korzenia zęba.
Na Międzynarodowej Wystawie Stomatologicznej w 2017 roku zaprezentowano prototyp takiego implantu 3D, który niemal nie różnił się od prawdziwego zęba pod względem anatomicznym i funkcjonalnym.
Tradycyjne tytanowe implanty również od lat potwierdzają swoją skuteczność i trwałość.
Ich główną zaletą jest to, że nie wymagają szlifowania ani naruszania zdrowych zębów sąsiednich, w przeciwieństwie do klasycznych mostów protetycznych.
Dodatkowo implanty zatrzymują proces zaniku kości po utracie zęba, ponieważ przenoszą na nią naturalne obciążenia podczas żucia.
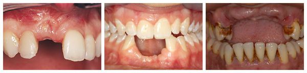
Protetyka przy całkowitej adencji
W przypadku całkowitego braku zębów stosuje się dwa główne typy uzupełnień:
- protezy ruchome;
- protezy stałe oparte na implantach.
Oba rozwiązania przywracają funkcję żucia, umożliwiają normalną mowę i znacząco poprawiają wygląd twarzy, przywracając jej naturalne proporcje.
Długotrwały brak zębów prowadzi do zaniku wyrostków zębodołowych – części kości, w których wcześniej osadzone były zęby.
W wyniku tego tradycyjne protezy płytowe mogą być niewygodne, zwłaszcza w obrębie żuchwy, gdzie powierzchnia podparcia jest niewielka, a siły żucia powodują ich przesuwanie się.
U pacjentów z dużym zanikiem kości dolnej szczęki utrzymanie takiej protezy jest wyjątkowo trudne, co obniża komfort życia i może prowadzić do otarć błony śluzowej.
Dlatego coraz częściej zaleca się nowoczesne protezy mocowane na implantach. W takich przypadkach implanty pełnią rolę filarów, które stabilizują protezę i zapobiegają jej przemieszczaniu się podczas jedzenia i mówienia.
To rozwiązanie łączy estetykę protezy z funkcjonalnością uzębienia naturalnego – zapewnia naturalny wygląd, stabilność oraz komfort użytkowania.
Leczenie adencji u dzieci
Najtrudniejszym przypadkiem w praktyce stomatologicznej jest adencja u dzieci, ponieważ ich układ zębowo-szczękowy wciąż rośnie i dojrzewa.
Rozwój kości, zębów i tkanek miękkich znacząco ogranicza możliwości leczenia implantologicznego – w tym wieku implanty mogą zaburzyć naturalny wzrost szczęki lub żuchwy.
Podczas planowania leczenia lekarz musi wziąć pod uwagę dwie kluczowe kwestie:
- wpływ implantów na wzrost i rozwój poszczególnych części szczęki, żuchwy oraz całego układu zębowo-szczękowego;
- wpływ dalszego wzrostu kości na pozycję wszczepionych implantów i możliwe zmiany w ich położeniu w czasie.
Po wyrznięciu się wszystkich zębów stałych (z wyjątkiem trzecich trzonowców – tzw. zębów mądrości) wzrost szczęk ulega zakończeniu.
Dopiero wtedy można bezpiecznie przeprowadzić implantację, bez ryzyka zakłócenia rozwoju struktur kostnych.
Zgodnie z opinią Niemieckiego Towarzystwa Stomatologicznego (DGZMK, 1989), stosowanie implantów zębowych u dzieci poniżej 15. roku życia może być niebezpieczne dla prawidłowego wzrostu szczęk i prowadzić do powikłań rozwojowych.
Jednak w wyjątkowych sytuacjach implantacja jest jedyną możliwą metodą leczenia, np. u dzieci z dysplazją ektodermalną – rzadką chorobą genetyczną, w której zęby w ogóle się nie rozwijają.
W takich przypadkach decyzja o leczeniu implantologicznym wymaga dokładnej diagnostyki, konsultacji interdyscyplinarnej (z ortodontą, chirurgiem szczękowym i pediatrą) oraz indywidualnego planu leczenia.
Dlatego stomatolog prowadzący dziecko z adencją musi doskonale znać zasady wzrostu i rozwoju szczęk oraz rozumieć, jak implant oddziałuje na dynamicznie zmieniającą się tkankę kostną.
Tylko wtedy leczenie może być bezpieczne, skuteczne i przewidywalne.
Rokowanie. Profilaktyka
Sukces leczenia adencji w dużej mierze zależy od dokładnej diagnostyki oraz prawidłowego doboru metody terapeutycznej.
Równie istotne jest rozpoznanie i leczenie chorób towarzyszących, które mogą wpływać na proces gojenia i przebieg rehabilitacji.
Współczesna stomatologia dysponuje wszystkimi niezbędnymi narzędziami, aby zapobiegać zanikowi kości i powstawaniu powikłań.
Przy właściwie przeprowadzonym leczeniu rokowanie jest pomyślne.
U dzieci i młodzieży o skuteczności terapii świadczy harmonijny rozwój kości twarzoczaszki, zwłaszcza wyrostków zębodołowych i trzonów szczęk.
U dorosłych pacjentów głównym celem leczenia jest utrzymanie wysokości kości wyrostka zębodołowego, a w przypadku jej zaniku – chirurgiczna rekonstrukcja i odbudowa naturalnej struktury kostnej.
Pełne przywrócenie funkcji żucia i mowy jest kluczowym wskaźnikiem sukcesu terapii.
Dodatkowym kryterium skuteczności leczenia jest przywrócenie równowagi biologicznej (homeostazy) w jamie ustnej.
Profilaktyka adencji
Profilaktyka adencji polega na zapobieganiu próchnicy, chorobom przyzębia oraz utracie kości szczękowej.
Obejmuje ona:
- regularną i dokładną higienę jamy ustnej;
- systematyczne wizyty kontrolne u stomatologa (co najmniej raz na pół roku);
- wczesne leczenie próchnicy i chorób przyzębia;
- racjonalne odżywianie, bogate w wapń, fosfor, witaminy D, A, E i z grupy B.
Profilaktykę prowadzi się zarówno lokalnie, jak i ogólnie.
Stosowanie pasty z fluorem (z wyjątkiem osób mieszkających w regionach o wysokim stężeniu fluoru w wodzie) zwiększa odporność szkliwa na próchnicę.
Szczególnie polecane są pasty z aminofluorkiem, który wspomaga dojrzewanie szkliwa w ciągu pierwszych 3–5 lat po wyrznięciu zębów.
Skutecznym zabiegiem profilaktycznym jest również uszczelnianie bruzd zębowych (fissur), które znacząco zmniejsza ryzyko rozwoju próchnicy u dzieci i młodzieży.
Najważniejszym jednak elementem profilaktyki chorób jamy ustnej jest prawidłowe odżywianie kobiety w ciąży, ponieważ ma ono bezpośredni wpływ na rozwój zawiązków zębów dziecka jeszcze w okresie płodowym.
Odpowiednia dieta, bogata w mikroelementy i witaminy, wspiera prawidłową mineralizację kości i zębów u rozwijającego się płodu, zmniejszając ryzyko wrodzonej adencji.