Definicja choroby. Przyczyny choroby
Alweolitis (zapalenie zębodołu, czyli tzw. „suchy zębodół”) to stan zapalny rozwijający się w miejscu po usuniętym zębie. W prawidłowych warunkach w zębodole tworzy się skrzep krwi, który chroni kość przed czynnikami zewnętrznymi i umożliwia prawidłowe gojenie rany. Jeśli jednak skrzep nie powstanie, rozpadnie się zbyt szybko lub zostanie wypłukany, kość pozostaje odsłonięta i narażona na działanie bakterii oraz substancji drażniących z jamy ustnej. W efekcie dochodzi do rozwoju stanu zapalnego, któremu towarzyszy silny ból, nieprzyjemny zapach z ust oraz trudności w gojeniu rany.
Alweolitis jest najczęstszym powikłaniem po ekstrakcji zęba. Według badań występuje u 3–4% pacjentów, a w przypadku usunięcia dolnych zębów mądrości — nawet u 45%. Najczęściej pojawia się po ekstrakcji zębów trzonowych, zwłaszcza w żuchwie, gdzie ryzyko jest około dziesięciokrotnie wyższe niż w szczęce. Statystyki wskazują również, że kobiety chorują częściej niż mężczyźni — w proporcji około 5:1.

Czynniki zwiększające ryzyko rozwoju alweolitis
Nie u każdego pacjenta po ekstrakcji rozwija się zapalenie zębodołu, jednak istnieje wiele czynników, które znacząco podnoszą to ryzyko.
- Trudne i urazowe usunięcie zęba – jeśli podczas zabiegu konieczne jest nacięcie dziąsła, usunięcie fragmentu kości lub podzielenie zęba na części, dochodzi do uszkodzenia tkanek wokół rany. Utrudnia to powstanie skrzepu krwi i sprzyja stanowi zapalnemu. Po takich zabiegach ryzyko alweolitis może wzrosnąć nawet dziesięciokrotnie.
- Doświadczenie chirurga – przebieg ekstrakcji w dużej mierze zależy od umiejętności lekarza. Błędy techniczne, szczególnie przy usuwaniu dolnych zębów mądrości, znacznie zwiększają prawdopodobieństwo wystąpienia zapalenia.
- Dolne zęby mądrości – alweolitis najczęściej rozwija się po usunięciu trzecich trzonowców żuchwy (nawet do 45% przypadków). Kość w tej okolicy jest gęsta i słabo ukrwiona, przez co proces gojenia przebiega wolniej.
- Choroby ogólne – schorzenia takie jak cukrzyca, niedobory odporności czy choroby układu krążenia utrudniają regenerację tkanek i sprzyjają infekcjom.
- Doustne środki antykoncepcyjne – kobiety przyjmujące estrogeny są bardziej narażone na rozwój alweolitis, ponieważ hormony te przyspieszają rozpad skrzepu krwi.
- Palenie tytoniu – nikotyna pogarsza krążenie i ogranicza dopływ tlenu do tkanek. U palaczy ryzyko „suchego zębodołu” jest 4–5 razy większe niż u osób niepalących. W przypadku palenia paczki dziennie ryzyko wzrasta nawet o 20–40%, zwłaszcza jeśli papierosy były palone w dniu zabiegu.
- Uszkodzenie skrzepu krwi – skrzep może wypaść lub się przemieścić, np. przy piciu przez słomkę, zbyt energicznym płukaniu ust czy dotykaniu rany językiem. Odsłonięta kość staje się wtedy źródłem bólu i zapalenia.
- Zakażenie bakteryjne – jeśli przed zabiegiem w jamie ustnej występował stan zapalny (np. pericoronitis, zapalenie dziąseł lub przyzębia), ryzyko infekcji zębodołu rośnie. Brak odpowiedniej higieny dodatkowo zwiększa zagrożenie.
- Znieczulenie z środkiem obkurczającym naczynia – nadmierne użycie środka z wazokonstryktorem może ograniczyć przepływ krwi, utrudniając powstanie i utrzymanie skrzepu.
- Wiek pacjenta – u osób starszych procesy regeneracyjne zachodzą wolniej, a osłabiony układ odpornościowy sprzyja rozwojowi stanu zapalnego po ekstrakcji.
W przypadku wystąpienia podobnych objawów skonsultuj się z lekarzem. Nie stosuj samoleczenia – to niebezpieczne dla Twojego zdrowia!
Objawy alweolitis po ekstrakcji zęba
Objawy charakterystyczne dla alweolitis zwykle pojawiają się po 2–3 dniach od usunięcia zęba, choć w niektórych przypadkach mogą wystąpić już po kilku godzinach po zabiegu. W zdecydowanej większości – od 95 do 100% przypadków – stan zapalny rozwija się w ciągu pierwszego tygodnia po ekstrakcji. Czas trwania choroby zależy od nasilenia procesu zapalnego i ogólnego stanu pacjenta, ale zazwyczaj wynosi od 5 do 10 dni.

Główne objawy alweolitis:
- Ból – to najczęstszy i najbardziej charakterystyczny objaw choroby. Początkowo ma on charakter tępy i nasila się podczas jedzenia lub dotyku miejsca po usuniętym zębie. W zębodole można zauważyć luźny, częściowo rozpadnięty skrzep krwi, a czasem jego całkowity brak. W miarę rozwoju zapalenia ból staje się ostry, pulsujący i „strzelający”, często promieniujący do skroni, ucha, potylicy, sąsiednich zębów lub połowy żuchwy.
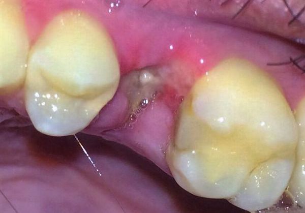
- Odsłonięty zębodół – brak skrzepu sprawia, że zębodół wygląda na pusty, a czasami widoczna jest odsłonięta kość. Może być pokryty szarawym nalotem, a otaczająca błona śluzowa staje się zaczerwieniona, obrzęknięta i bolesna przy dotyku.
- Nieprzyjemny zapach lub smak w ustach – pojawia się w wyniku rozpadu skrzepu krwi oraz gromadzenia się w zębodole resztek jedzenia i bakterii.
- Pogorszenie samopoczucia – u niektórych pacjentów występuje podwyższona temperatura ciała oraz powiększenie okolicznych węzłów chłonnych, co świadczy o reakcji obronnej organizmu na rozwijający się stan zapalny.
Patogeneza alweolitis po ekstrakcji zęba
Po usunięciu zęba w zębodole tworzy się skrzep krwi, który pełni rolę naturalnego opatrunku – chroni ranę przed zakażeniem i stanowi podstawę do jej prawidłowego gojenia. Skrzep osłania odsłoniętą kość, zabezpiecza zakończenia nerwowe oraz umożliwia stopniową odbudowę tkanek od wewnątrz.
Prawidłowy proces gojenia przebiega etapowo:
- Bezpośrednio po zabiegu – pod wpływem trombiny i fibrynogenu tworzy się skrzep krwi, który szczelnie wypełnia zębodół;
- Po kilku godzinach – na jego powierzchni zaczynają się namnażać komórki nabłonka dziąsła;
- W kolejnych dniach – do wnętrza skrzepu wrastają nowe naczynia krwionośne z otaczającej kości, dostarczając składniki odżywcze i tlen;
- W dalszej fazie – skrzep stopniowo się rozpuszcza, a jego miejsce zajmuje młoda tkanka kostna, która z czasem ulega mineralizacji.
Skrzep krwi jest więc strukturą tymczasową, ale niezbędną dla rozpoczęcia procesu regeneracji. Jego utrata lub rozpad prowadzi do odsłonięcia kości, co uniemożliwia gojenie i może doprowadzić do rozwoju zapalenia zębodołu.

W przypadku alweolitis proces rozpuszczania skrzepu krwi, czyli fibrynoliza, przebiega zbyt szybko. W rezultacie skrzep rozpada się przedwcześnie, a zębodół pozostaje odsłonięty i pozbawiony ochrony, co prowadzi do rozwoju stanu zapalnego oraz silnego bólu.
Fibrynoliza zachodzi, gdy substancja zwana plazminogenem przekształca się w plazminę – enzym rozpuszczający fibrynę, będącą podstawowym składnikiem skrzepu krwi. Proces ten może przebiegać na dwa sposoby:
- Bezpośrednio (fizjologicznie) – na skutek urazu komórek kostnych zębodołu podczas ekstrakcji, kiedy uwalniane są substancje takie jak tPA (tkankowy aktywator plazminogenu), czynnik XII oraz urokinaza;
- Pośrednio (niefizjologicznie) – gdy aktywatory fibrynolizy są wydzielane przez bakterie, które przedostały się do rany i powodują jej zakażenie.
W obu przypadkach skutkiem jest zbyt szybkie rozpuszczenie skrzepu i odsłonięcie kości, co uniemożliwia prawidłowe gojenie oraz sprzyja rozwojowi zapalenia zębodołu.
Klasyfikacja i etapy rozwoju alweolitis po ekstrakcji zęba
Alweolitis nie ma oficjalnej klasyfikacji ani jednoznacznie określonych etapów rozwoju. Objawy najczęściej pojawiają się po 2–3 dniach od usunięcia zęba i utrzymują się przez około tydzień, po czym — przy prawidłowym leczeniu — stopniowo ustępują.
W niektórych źródłach można spotkać podział alweolitis na postać surowiczą, ropną i przerostową, jednak w praktyce stomatologicznej taki podział nie jest stosowany, ponieważ nie znajduje potwierdzenia w badaniach naukowych.
Zgodnie z Międzynarodową Klasyfikacją Chorób (ICD-10), alweolitis zaliczany jest do grupy K10 – Inne choroby szczęk, a jego kod to K10.3 – Alweolitis szczęk.
Powikłania alweolitis po ekstrakcji zęba
Chociaż alweolitis powoduje silny ból i znaczny dyskomfort, stan zapalny zwykle pozostaje ograniczony do zębodołu po usuniętym zębie i rzadko prowadzi do poważnych powikłań. Mimo to choroba zawsze wymaga leczenia, aby zapobiec rozprzestrzenianiu się infekcji i ewentualnym następstwom ogólnoustrojowym.
W rzadkich przypadkach, gdy nie zostanie wdrożona odpowiednia terapia, mogą rozwinąć się powikłania, takie jak:
- zapalenie kości szczęki (osteomyelitis);
- ropień;
- phlegmona – rozlane zapalenie tkanek miękkich;
- zapalenie węzłów chłonnych (limfadenitis).
Aby zapobiec takim komplikacjom, lekarz dokładnie płucze zębodół ciepłym roztworem fizjologicznym, a następnie umieszcza w nim opatrunek antyseptyczny zawierający chlorheksydynę, anesthesin, lidokainę, propolis lub inne środki o działaniu przeciwzapalnym i znieczulającym. Opatrunek łagodzi ból, zmniejsza stan zapalny i przyspiesza gojenie się tkanek.
Diagnostyka alweolitis po ekstrakcji zęba
Rozpoznanie alweolitis zwykle nie sprawia trudności, ponieważ schorzenie ma charakterystyczne objawy i rozwija się kilka dni po ekstrakcji zęba. Lekarz przeprowadza szczegółowy wywiad, a następnie dokładnie bada zębodół, oceniając jego wygląd, obecność skrzepu, zapach oraz stan błony śluzowej.
Dodatkowo może zostać wykonane zdjęcie rentgenowskie, które pozwala sprawdzić, czy w zębodole nie pozostały fragmenty korzenia, kości lub inne ciała obce. Badanie RTG jest szczególnie zalecane, jeśli wcześniej nie wykonano kontrolnego zdjęcia po zabiegu usunięcia zęba.
Ponieważ objawy alweolitis mogą przypominać inne schorzenia w obrębie twarzy i szczęk, konieczne jest różnicowanie diagnozy, czyli wykluczenie:
- ostrych brzegów zębodołu;
- nieodwracalnego zapalenia miazgi (pulpitis) lub urazów sąsiednich zębów;
- urazów szczęki;
- infekcji pochodzenia zębowego, takich jak ropień okołowierzchołkowy, zapalenie okostnej lub zapalenie kości (osteomyelitis);
- zapalenia zatoki szczękowej w fazie zaostrzenia;
- neuralgii nerwu trójdzielnego lub innych przyczyn bólu o podłożu neurogennym.
Dokładne badanie kliniczne w połączeniu z diagnostyką obrazową pozwala na szybkie i trafne rozpoznanie choroby oraz wdrożenie właściwego leczenia.
Leczenie alweolitis po ekstrakcji zęba
Średnio po 7–10 dniach od usunięcia zęba ściany zębodołu zaczynają pokrywać się tkanką ziarninową, która stopniowo przekształca się w nową kość — to końcowy etap prawidłowego gojenia rany poekstrakcyjnej.
Leczenie alweolitis polega przede wszystkim na złagodzeniu bólu, zahamowaniu stanu zapalnego i przyspieszeniu regeneracji tkanek. We wczesnym stadium zwykle stosuje się leczenie objawowe, które można prowadzić w warunkach domowych pod kontrolą stomatologa.
Leczenie miejscowe
Głównym celem terapii miejscowej jest oczyszczenie i zabezpieczenie zębodołu, aby umożliwić jego prawidłowe gojenie.
- Płukanie zębodołu (irygacja). Zabieg pozwala usunąć resztki jedzenia, bakterie i martwe tkanki. Do płukania stosuje się:
- ciepły roztwór fizjologiczny;
- chlorheksydynę;
- enzymy proteolityczne, które rozpuszczają nalot i martwą tkankę.
- Opatrunek antyseptyczny i przeciwbólowy. Po oczyszczeniu do zębodołu wprowadza się opatrunek, który chroni ranę, łagodzi ból i ogranicza stan zapalny. Wykorzystuje się preparaty zawierające:
- tlenek cynku z eugenolem;
- jodoform;
- anesthesin lub lidokainę;
- antybiotyki;
- propolis i inne składniki lecznicze.Opatrunek należy regularnie wymieniać aż do całkowitego ustąpienia bólu.
- Kiretaż (oczyszczenie zębodołu). Jeśli w ranie znajdują się fragmenty zęba lub kości, usuwa się je w znieczuleniu miejscowym. Zabieg wykonywany jest ostrożnie, by nie uszkodzić zdrowych tkanek.
Metody leczenia po usunięciu zęba mądrości są identyczne jak w przypadku pozostałych ekstrakcji.
Leczenie ogólne
W celu złagodzenia bólu lekarz przepisuje niesteroidowe leki przeciwzapalne (NLPZ).
Jeśli stan zapalny rozprzestrzenia się na sąsiednie tkanki, konieczna może być antybiotykoterapia, a w cięższych przypadkach — leczenie szpitalne.
U dzieci leczenie przebiega według tych samych zasad, jednak dawkowanie leków zawsze dostosowuje się indywidualnie do wieku i masy ciała.
Rokowanie. Profilaktyka
Jeśli alweolitis zostanie rozpoznany we wczesnym etapie i odpowiednio leczony, rokowanie jest bardzo dobre – rana goi się prawidłowo, a ból i stan zapalny ustępują w ciągu kilku dni.
Profilaktyka alweolitis
Profilaktyka polega na ograniczeniu czynników ryzyka, które mogą prowadzić do rozwoju zapalenia zębodołu po ekstrakcji. Obejmuje działania zarówno ze strony pacjenta, jak i lekarza.
Zalecenia dla pacjenta
- Nie palić papierosów przez co najmniej 5–7 dni po zabiegu – dym tytoniowy opóźnia gojenie i zwiększa ryzyko infekcji;
- Dbać o higienę jamy ustnej przed i po ekstrakcji: delikatnie szczotkować zęby oraz płukać usta środkami antyseptycznymi;
- Przestrzegać zaleceń stomatologa – nie dotykać zębodołu językiem, nie płukać zbyt intensywnie i nie pić przez słomkę;
- Kobiety przyjmujące doustne środki antykoncepcyjne powinny skonsultować się z ginekologiem – czasami zaleca się ich czasowe odstawienie przed zabiegiem.
Zalecenia dla lekarza
- Przeprowadzać atraumatyczną ekstrakcję, minimalizując uraz tkanek;
- Kontrolować ilość i rodzaj podawanego znieczulenia;
- W razie potrzeby zastosować w zębodole środki antyseptyczne lub przeciwzapalne, by ograniczyć ryzyko infekcji.
Skuteczne metody profilaktyki
Alweolitis to jedno z najczęstszych powikłań po ekstrakcji zęba, dlatego badacze nieustannie poszukują skutecznych sposobów zapobiegania. Choć nie istnieje jedna uniwersalna metoda, poniższe rozwiązania wykazują wysoką skuteczność:
- Antybiotyki – stosowane ogólnie (penicylina, klindamycyna, erytromycyna, metronidazol) lub miejscowo. Tetracyklina aplikowana bezpośrednio do zębodołu znacząco zmniejsza ryzyko wystąpienia stanu zapalnego;
- Chlorheksydyna – płukanie jamy ustnej 0,12% roztworem przed i po zabiegu obniża częstość alweolitis; żel z 0,2% chlorheksydyną działa równie skutecznie;
- Opatrunki z eugenolem (np. Alvogyl) – zawierają eugenol, butamben i jodoform; stosowanie ich zmniejsza ryzyko zapalenia zębodołu z 26% do 8%;
- Sterydy – połączenie hydrokortyzonu i oksytetracykliny redukuje liczbę przypadków zapalenia po ekstrakcji zatrzymanych zębów mądrości;
- Leki przeciwfibrynolityczne (kwas traneksamowy) – zabezpieczają skrzep krwi przed przedwczesnym rozpadem;
- Materiały biodegradowalne – takie jak polimery, gąbki hemostatyczne i preparaty celulozowe wspomagają proces gojenia;
- PRP i PRF (terapia osoczem) – zastosowanie osocza bogatopłytkowego lub połączenia PRF z gąbką żelatynową przyspiesza regenerację tkanek;
- Granulki dekstranomeru – wykazują działanie przeciwbólowe i zmniejszają ryzyko rozwoju alweolitis.